| 버전 | 일자 | 변경내용 | 비고 |
|---|---|---|---|
| 1.0 | 2021-06-30 | 데이터 개방 | 데이터 최초 개방 |
| 일자 | 변경내용 | 비고 |
|---|---|---|
| 2025-01-06 | 데이터셋 변경 | 메타데이터 데이터 구축량 정보 수정 |
간암 진단 및 치료 과정에서 필요한 영상‧이미지 데이터
- 데이터 영역 : 헬스케어
- 데이터 유형 : 이미지
- 구축년도 : 2020년
- 구축량 : 1,854,269
간암 진단 및 치료 과정에서 필요한 의료 이미지 데이터셋 구축 의료 영상의 판독 결과와 진단 및 치료에 영향을 주는 임상 정보 등을 어노테이션한 학습용 데이터셋 구축 구축된 AI데이터를 이용하여 의료 단계별 의사결정에 직간접적 영향을 줄 수 있는 AI모델 제시
구축 내용 및 제공 데이터량
| 데이터셋 | 목표수량(건수) | 구축수량(건수) | |
|---|---|---|---|
| 간암 데이터셋 | Malignant | 11,000 | 55,367 |
| Benign | 6,000 | 18,892 | |
| Normal | 13,000 | 18,991 | |
데이터 변경이력
| 버전 | 일자 | 변경내용 | 비고 |
|---|---|---|---|
| 1.0 | 2021.06.30 | 데이터 최초 개방 |
구축 목적
활용 분야
소개

구축 내용 및 제공 데이터량
| 데이터셋 | 목표수량(건수) | 구축수량(건수) | |
|---|---|---|---|
| 간암 데이터셋 | Malignant | 11,000 | 55,367 |
| Benign | 6,000 | 18,892 | |
| Normal | 13,000 | 18,991 | |
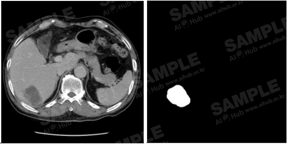
대표도면


필요성
데이터 구조
- 폴더명 항목
- 폴더명 세부 항목
2. DICOM 파일 구성
3. 어노테이션(PNG) 구성
4. 임상정보(JSON) 구성
- 부가항목
| 8bit - (RGB) | 간 (Liver) |
|---|---|
| 000000 (0,0,0) | - (transparency) |
| 800000 (128,0,0) | NORMAL |
| 008000 (0,128,0) | BENIGN1 |
| 808000 (128,128,0) | BENIGN2 |
| 000080 (0,0,128) | BENIGN3 |
| 800080 (128,0,128) | BENIGN4 |
| 008080 (0,128,128) | BENIGN5 |
| 808080 (128,128,128) | MALIGNANT |
| 책임자명 | 전화번호 | 대표이메일 | 담당업무 |
|---|---|---|---|
| 우상명 | 031-920-0740 | wsm@ncc.re.kr | · 지식베이스 구축 총괄 |
| 기관명 | 담당업무 |
|---|---|
| (의료법인)길의료재단 | · 간암 지식베이스 세부 책임 |
| 연세대학교 산학협력단 | · 간암 영상 지식베이스 구축간암 영상 지식베이스 구축 |
| 인피니트헬스케어 | · 인공지능 학습용 Imaging Platform 구축 및 어노테이션 저작도구 개발 |
| 피노맥스 | · 간암과 간의 양성종양 구분 및 확인 AI알고리즘 개발 |
| 고려대학교 산학협력단 | · 간암 영상 지식베이스 구축 |
| 연세대학교 원주산학협력단 | · 간암 영상 지식베이스 구축 |
| 서울대학교 산학협력단 | · 간암 분할 AI 모델 및 응용서비스 개발 |
| 모니터 코퍼레이션 | · AI 모델을 통해 간암 데이터 학습 및 검증 |
| 담당자명 | 전화번호 | 이메일 |
|---|---|---|
| 이미영(국립암센터) | 031-920-0740 | leemyyoung@ncc.re.kr |