공공 의료데이터 상세

썸네일

유방암 진단 의료 영상

##조기 진단## 딥러닝 인공지능## 영상데이터## 이미지데이터## 유방 초음파## 유방 촬영술## 유방 MRI## 양성## 악성
유방암 진단 및 치료 과정에서 필요한 영상·이미지 데이터
분야
헬스케어
유형
비디오,이미지
생성 방식
안심존(온라인)
  • 구축년도 : 2020
  • 버전 : 1.0
AI-HUB

데이터 변경이력

데이터 변경이력
버전 일자 변경내용 비고
1.0 2021-06-30 데이터 개방 데이터 최초 개방

데이터 히스토리

데이터 히스토리
일자 변경내용 비고
2025-01-06 데이터셋 변경 메타데이터 데이터 구축량 정보 수정

소개

유방암 진단 및 치료 과정에서 필요한 영상·이미지 데이터
- 데이터 영역 : 헬스케어
- 데이터 유형 : 비디오 , 이미지 
- 구축년도 : 2020년
- 구축량 : 655,231

구축목적

의료 진단에서 활용될 수 있는 의료 인공지능 개발이 세계적으로 소개되고 있지만 민감한 의료 정보를 담고 있기 때문에 접근할 수 있는 오픈소스 의료 데이터의 종류가 제한적임.
따라서 유방암 진단에 활용할 수 있는 3종류의 유방암 의료 영상 데이터셋을 구축하여 영상 진단 판독을 보조할 수 있는 의료 인공지능 개발을 도모하고 의료 산업의 발전을 기대함

구축 내용 및 제공 데이터량

  • 유방암 데이터셋은 병원으로부터 원본 의료 이미지 데이터 획득 후 익명화 및 비식별화 과정을 거친 뒤 전문의의 라벨링으로 구축되었음.
    구축 내용 및 제공 데이터량 구조테이블
    유형 구축 건수(건)
    분류 환자수 영상 수
    유방 초음파 양성 600명 600명
    악성 600명 600장
    유방 촬영술 잔존암이 없는 환자 150명 600장
    잔존암이 있는 환자 150명 600명
    유방 MRI 잔존암이 없는 환자 150명 326,425장
    잔존암이 있는 환자 150명 326,413장

데이터 변경이력

데이터 변경이력
버전 일자 변경내용 비고
1.0 2021.06.30 데이터 최초 개방  

구축 목적

  • 의료 진단에서 활용될 수 있는 의료 인공지능 개발이 세계적으로 소개되고 있지만 민감한 의료 정보를 담고 있기 때문에 접근할 수 있는 오픈소스 의료 데이터의 종류가 제한적임.
  • 따라서 유방암 진단에 활용할 수 있는 3종류의 유방암 의료 영상 데이터셋을 구축하여 영상 진단 판독을 보조할 수 있는 의료 인공지능 개발을 도모하고 의료 산업의 발전을 기대함.

활용 분야

  • 의료 영상 판독 보조 소프트웨어 산업

소개

  • 의료용 인공지능 학습 모델 개발을 위한 멀티모달 유방 영상 의료 데이터셋 구축
  • 유방암의 종양 감별을 위한 유방 초음파의 양성, 악성 이미지 데이터셋 구축
  • 항암 치료 이후 유방의 잔존암이 남아있는지 유, 무를 판별하기 위한 유방 MIR, 유방촬영술 이미지 데이터셋 구축

구축 내용 및 제공 데이터량

  • 유방암 데이터셋은 병원으로부터 원본 의료 이미지 데이터 획득 후 익명화 및 비식별화 과정을 거친 뒤 전문의의 라벨링으로 구축되었음.
    구축 내용 및 제공 데이터량 구조테이블
    유형 구축 건수(건)
    분류 환자수 영상 수
    유방 초음파 양성 600명 600명
    악성 600명 600장
    유방 촬영술 잔존암이 없는 환자 150명 600장
    잔존암이 있는 환자 150명 600명
    유방 MRI 잔존암이 없는 환자 150명 326,425장
    잔존암이 있는 환자 150명 326,413장

대표도면

대표도면 표
모달리티 유방암 영상데이터 데이터
포맷
어노테이션
항목
메타데이터
JSON 형식
유방
초음파
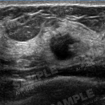
유방암 진단 의료 영상-대표도면_1_유방암 영상데이터(유방 초음파)

 

DICOM 병변 부위
Polygon
체크
● DICOM 파일(비식별화 후)
● - patient id => anonymized id
● - patient name => anonymized
● JSON 파일
   - 환자:JSON = 1:1
● Excel 파일
- 양성/악성정보 비식별 환자ID, 나이, 제조사, 모델명
유방촬영술 유방암 진단 의료 영상-대표도면_2_유방암 영상데이터(유방촬영술)

 

DICOM 병변 부위
Polygon
체크
● DICOM 파일 (비식별화 후)
● - patient id => anonymized id
● - patient name => anonymized
● JSON 파일
   - 환자:JSON = 1:n
● Excel 파일 - 잔존암 정보, 비식별 환자ID, 나이, 제조사, 모델명, 사이드, ER, PR, HER2, IDC, Compression force
유방
MRI
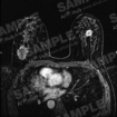
유방암 진단 의료 영상-대표도면_3_유방암 영상데이터(유방MRI)

 

DICOM 병변 부위
Polygon
체크
● DICOM 파일
● - patient id => anonymized id
● - patient name => anonymized
● JSON 파일
 - 환자:json = 1:n
● Excel 파일
- 잔존암정보, 비식별 환자ID, 나이, 제조사, 모델명, 사이드, ER, PR, HER2, IDC

필요성

  • 유방암 데이터셋은 의료진이 유방암 환자를 진단할 때 사용하는 대표적인 영상 3가지(유방 초음파, 유방 촬영술, 유방 MRI) 카테고리로 구성됨
  • 현재 인공지능 기술은 오픈소스 활용 등으로 다양하게 발전하고 있으나, 학습에 기반이 되는 데이터는 환자 정보로 인한 의료 정보의 특수성으로 확보가 어려움
  • 따라서, 유방암 진단을 위한 3가지 종류의 데이터셋을 통해 의료 인공지능 기술 발전을 도모하고 인공지능 진단 모델을 활용하여 의료진의 종합적이고 효율적인 진단을 통한 의료 서비스의 질적 향상을 기대함

데이터 구조

  • 데이터구성
    - 메타데이터는 JSON 포맷으로 제공됨
    1) 유방초음파
    유방초음파 데이터구성 표
    컬럼명 상세내역
    recvid
    (type: number)
    환자 익명 ID
    (min: 1000000, max: 9999999)
    annotation_type
    (type: string)
    어노테이션 유형
    (polygon segmentation)
    class
    (type: number)
    0: 양성, 1: 악성
    2) 유방촬영술
        - dcm파일마다 json 파일이 제공되며, 유방촬영술 view정보 포함
    유방촬영술 데이터구성 표
    컬럼명 상세내역
    recvid
    (type: number)
    환자 익명 ID
    (min: 1000000, max: 9999999)
    mammo_view
    (type: string)
    유방촬영술 View 정보
    (RCC, LCC, RMLO, LMLO)
    annotation_type
    (type: string)
    어노테이션 유형
    (polygon segmentation)
    exist_binary
    (type: number)
    유방촬영술 View에 따른
    세그멘테이션 파일 유무
    0: 세그멘테이션 파일 없음
    1: 세그멘테이션 파일 있음
    class
    (type: number)

    0: 잔존암 있음 (no pCR),
    1: 잔존암 없음 (pCR)

    3) 유방MRI
        - MRI 단일 볼륨 Series폴더 마다 json파일 제공
    유방MRI 데이터구성 표
    컬럼명 상세내역
    recvid
    (type: number)
    환자 익명 ID
    (min: 1000000, max: 9999999)
    serious_name
    (type: string)
    유방MRI Serious 정보 제공
    (t1_post_1, t1_post_2, t1_post_3,
    t1_post_4, t1_post_5, t1_post_sub_1,
    t1_post_sub_2, t1_post_sub_3,
    t1_post_sub_4, t1_post_sub_5,
    t1_pre, t2)
    annotation_type
    (type: string)
    어노테이션 유형
    (polygon segmentation)
    class
    (type: number)
    0: 잔존암 있음 (no pCR),
    1: 잔존암 없음 (pCR)

데이터셋 구축 담당자

수행기관(주관) : 에이아이트릭스
수행기관(주관)
책임자명 전화번호 대표이메일 담당업무
유진규 02-569-5507 contact@aitrics.com · 데이터구축 총괄
수행기관(참여)
수행기관(참여)
기관명 담당업무
경북대칠곡병원 · 원본 데이터 제공 및 데이터 어노테이션
경북대학교 산학협력단-IT대학 컴퓨터학부 · 데이터 익명화 작업 및 데이터 어노테이션 툴 개발
· 유방암 데이터셋을 활용한 AI모델 개발
데이터 관련 문의처
데이터 관련 문의처
담당자명 전화번호 이메일
백원중(에이아이트릭스) 02-569-5507 contact@aitrics.com