| 버전 | 일자 | 변경내용 | 비고 |
|---|---|---|---|
| 1.0 | 2022-07-13 | 데이터 개방 | 데이터 최초 개방 |
| 일자 | 변경내용 | 비고 |
|---|---|---|
| 2025-01-06 | 데이터셋 변경 | 메타데이터 데이터 구축량 정보 수정 |
| 2022-07-13 | 산출물 공개 | 콘텐츠 최초 등록 |
심장질환 분야에서 가장 보편적으로 활용되고 있는 심초음파 검사와 관련하여 다양한 AI 연구개발에 활용될 수 있는 관련 임상의료데이터 및 경흉부 X-ray 데이터
정확하고 효율적인 의료서비스를 지원하는 AI기술 개발이 가능하도록 심장질환 분야에서 일차적으로 활용되는 심전도 및 심초음파 데이터와 그 활용성을 극대화 할 수 있는 유관 데이터를 포함하는 ‘학습용 표준 빅데이터’를 구축
| 데이터 영역 | 헬스케어 | 데이터 유형 | 이미지 |
|---|---|---|---|
| 데이터 형식 | dcm | 데이터 출처 | 의료기관 |
| 라벨링 유형 | 세그멘테이션 | 라벨링 형식 | json |
| 데이터 활용 서비스 | AI 기반 심초음파 단계별 검사지원 및 진단 솔루션 | 데이터 구축년도/ 데이터 구축량 |
2021년/253,594 |
데이터 구축 규모


데이터 분포



AI 모델 개요

서비스 활용 시나리오
원천데이터 구성
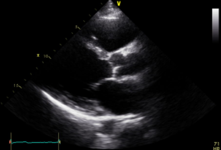
| 원천데이터(DICOM) |
|---|
![]() |
| 라벨데이터(JSON) | |
|---|---|
| id | "0118610_echo_001" |
| filename | "0118610_echo_001.dcm" |
| width | 636 |
| height | 434 |
| study date | “2018.03.26” |
| patient_id | “0118610” |
| disease_category | “1” |
| view_category | 0 |
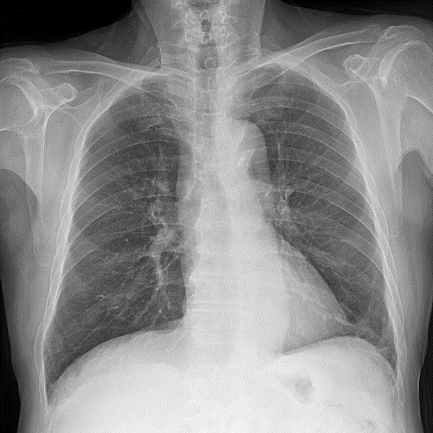
| 원천데이터(DICOM) |
|---|
![]() |
| 라벨데이터(JSON) | |
|---|---|
| id | "0118610_cxr" |
| file format | ".dcm" |
| width | 2017 |
| height | 2017 |
| study date | “2018.03.26” |
| patient_id | “0118610” |
라벨링데이터 구성
| 구분 | 항목명 | 타입 | 필수 | 설명 | 범위 | 비고 | |
|---|---|---|---|---|---|---|---|
| 여부 | |||||||
| 1 | id | Object | M | 이미지정보 | |||
| 2 | filename | String | M | 이미지파일명 | (patient_id)_echoAnnotation_(순번) | ||
| 3 | width | Number | M | 이미지너비 | 양의 정수 | ||
| 4 | height | Number | M | 이미지높이 | 양의 정수 | ||
| 5 | study date | String | M | 이미지 생성 일자 | yyyy.mm.dd | ||
| (2011.01.01~2021.01.31) | |||||||
| 6 | patient_id | String | M | 환자 ID | |||
| 7 | disease_category | String | M | 세부질환 카테고리 | [0~7] | ||
| 8 | view_category | Number | M | 단면도 카테고리 | [0,5,7] | ||
| 9 | labels | Object | M | 라벨링정보 | |||
| 9-1 | frame_idx | Number | M | 프레임 번호 | 양의 정수 | ||
| 9-2 | label_id | Number | M | 라벨 식별자 | [0~11] | ||
| 9-3 | label_name | String | M | 클래스명 | 0: (PLAX) wall thickness septal ED, | ||
| 1: (PLAX) chamber dimension ED, | |||||||
| 2: (PLAX) wall thickness posterior ED, | |||||||
| 3: (PLAX) aorta dimension ED, | |||||||
| 4: (PLAX) wall thickness septal ES, | |||||||
| 5: (PLAX) chamber dimension ES, | |||||||
| 6: (PLAX) wall thickness posterior ES, | |||||||
| 7: (PLAX) LA dimension ES, | |||||||
| 8: (A4C) chamber contour ED,, | |||||||
| 9: (A4C) chamber contour ES, | |||||||
| 10: (A2C) chamber contour ED, | |||||||
| 11: (A2C) chamber contour ES, | |||||||
| 9-4 | polygon_points | Array | C | polygon, polyline 내 x좌표, y좌표 집합 | 4차원 Array | ||
| label_id가 8~11일 때 | |||||||
| 9-5 | polyline_points | Array | C | polygon, polyline 내 x좌표, y좌표 집합 | 2차원 Array | ||
| label_id가 0~7일 때 | |||||||
| 구분 | 항목명 | 타입 | 필수 | 설명 | 범위 |
|---|---|---|---|---|---|
| 여부 | |||||
| 1 | id | Object | M | 이미지정보 | |
| 2 | filename | String | M | 이미지파일명 | (patient_id)_echo_(순번) |
| 3 | width | Number | M | 이미지너비 | 양의 정수 |
| 4 | height | Number | M | 이미지높이 | 양의 정수 |
| 5 | study date | String | M | 이미지 생성 일자 | yyyy.mm.dd |
| (2011.01.01~2021.01.31) | |||||
| 6 | patient_id | String | M | 환자 ID | |
| 7 | disease_category | String | M | 세부질환 카테고리 | [0~7] |
| 8 | view_category | Number | M | 단면도 카테고리 | [0~7] |
| 구분 | 항목명 | 타입 | 필수 | 설명 | 범위 | 비고 |
|---|---|---|---|---|---|---|
| 여부 | ||||||
| 1 | identifier/filename | String | M | 아이디/파일명 | ||
| 2 | patient id | String | M | 환자번호(비식별화) | ||
| 3 | sex | String | M | 성별 | 0 or 1 | |
| 4 | birth date | String | M | 년,월 | yyyy.mm | |
| 5 | weight | String | O | 몸무게 | ||
| 6 | height | String | O | 키 | ||
| 7 | SBP | String | O | 수축기혈압 | ||
| 8 | DBP | String | O | 이완기혈압 | ||
| 9 | heart rate | String | O | 심박수 | ||
| 10 | hypertension | String | O | 고혈압 | 0 or 1 | |
| 11 | diabetes | String | O | 당뇨병 | 0 or 1 | |
| 12 | coronary artery disease | String | O | 관상동맥질환 | 0 or 1 | |
| 13 | peripheral artery disease | String | O | 말초동맥질환 | 0 or 1 | |
| 14 | chronic kidney disease | String | O | 만성 신부전 | 0 or 1 | |
| 15 | end-stage renal disease on dialysis | String | O | 말기 신질환 | 0 or 1 | |
| 16 | heart failure | String | O | 심부전 | 0 or 1 | |
| 17 | stroke | String | O | 뇌졸중 | 0 or 1 | |
| 18 | dyslipidemia | String | O | 이상지질혈증 | 0 or 1 | |
| 19 | familial history of cardiovascular disease (MI or stroke or SCD) | String | O | 심혈관계 질환 가족력 | 0 or 1 | |
| 20 | WBC (white blood cell) | String | O | 백혈구 | ||
| 21 | hemoglobin | String | O | 혈색소 | ||
| 22 | hematocrit | String | O | 적혈구용적률 | ||
| 23 | platelet | String | O | 혈소판 | ||
| 24 | BUN (blood urea nitrogen) | String | O | 혈액 요소 질소 | ||
| 25 | creatinine | String | O | 크레아틴 | ||
| 26 | glomerular filtration rate based on CKD-EPI equation | String | O | 사구체 여과 속도 | ||
| 27 | glucose | String | O | 혈당 | ||
| 28 | HbA1c | String | O | 당화혈색소 | ||
| 29 | aspartate transaminase (AST) | String | O | 아스파르테이트 아미노 전달효소 | ||
| 30 | alanine transaminase (ALT) | String | O | 알라닌아미노 전달효소 | ||
| 31 | uric acid | String | O | 요산 | ||
| 32 | total cholesterol | String | O | 총 콜레스테롤 | ||
| 33 | HDL(high-density lipoprotein) | String | O | 고밀도 콜레스테롤 | ||
| 34 | triglycerides | String | O | 중성지방 | ||
| 35 | LDL(low-density lipoprotein) | String | O | 저밀도 콜레스테롤 | ||
| 36 | CRP(C-reactive protein) | String | O | C-반응단백 | ||
| 37 | Troponin-T | String | O | 트로포닌-T 단백 | ||
| 38 | Troponin-I | String | O | 트로포닌-I 단백 | ||
| 39 | CK-MB(Creatine Kinase MB) | String | O | 크레아틴 키나아제 MB | ||
| 40 | BNP(brain natriuretic peptide) | String | O | 뇌나트륨이뇨펩티드 | ||
| 41 | NT_proBNP(N-terminal probrain Natriuretic Peptide) | String | O |
| 구분 | 항목명 | 타입 | 필수여부 | 설명 | 범위 | 비고 |
|---|---|---|---|---|---|---|
| 1 | identifier/filename | String | M | 아이디/파일명 | ||
| 2 | patient id | String | M | 환자번호(비식별화) | ||
| 3 | study date | String | M | 영상획득날짜 | yyyy.mm.dd | |
| (2011.01.01~2021.01.31) | ||||||
| 4 | comment | String | M | 판독기록 |
| 구분 | 항목명 | 타입 | 필수여부 | 설명 | 범위 | 비고 |
|---|---|---|---|---|---|---|
| 1 | identifier/filename | String | M | 아이디/파일명 | ||
| 2 | file format | String | M | 파일 형식(포맷) | dcm | |
| 3 | width | Number | M | 행 | 양의 정수 | |
| 4 | height | Number | M | 열 | 양의 정수 | |
| 5 | study date | String | M | 영상획득날짜 | yyyy.mm.dd | |
| (2011.01.01~2021.01.31) | ||||||
| 6 | patient_id | String | M | 환자번호(비식별화) |
| 구분 | 항목명 | 타입 | 필수여부 | 설명 | 범위 | 비고 |
|---|---|---|---|---|---|---|
| 1 | identifier/filename | String | M | 아이디/파일명 | ||
| 2 | patient id | String | M | 환자번호(비식별화) | ||
| 3 | study date | String | M | 영상획득날짜 | yyyy.mm.dd | |
| (2011.01.01~2021.01.31) | ||||||
| 4 | comment | String | M | 판독기록 |
라벨링데이터 실제예시






| 책임자명 | 전화번호 | 대표이메일 | 담당업무 |
|---|---|---|---|
| 장혁재 교수 | 070-4105-5371 | hjchang@yuhs.ac | 사업 총괄 |
| 기관명 | 담당업무 |
|---|---|
| 분당서울대학교병원 | 데이터 설계, 수집 및 정제 |
| 순천향대학교 산학협력단 | 데이터 설계, 수집 및 정제 |
| 한양대학교 산학협력단 | 데이터 설계, 수집 및 정제 |
| 충남대학교병원 | 데이터 설계, 수집 및 정제 |
| ㈜ 데이터웨이 | 데이터 검수 |
| ㈜ 온택트헬스 | 데이터 가공 |