| 버전 | 일자 | 변경내용 | 비고 |
|---|---|---|---|
| 1.1 | 2023-12-20 | 데이터 최종 개방 | |
| 1.0 | 2023-07-27 | 데이터 개방 | Beta Version |
| 일자 | 변경내용 | 비고 |
|---|---|---|
| 2025-05-08 | 데이터셋 변경 | 구축업체정보 수정 |
| 2025-01-06 | 데이터셋 변경 | 메타데이터 데이터 구축량 정보 수정 |
| 2024-03-07 | 산출물 변경 | AI모델 수정 |
| 2024-01-12 | 산출물 최종 공개 |
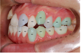
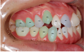
치과교정 분야에서 촬영 규격화된 임상사진 중 치과교정 및 보철분야 진단에 필요한 임상 정보 6종(구내사진 정면, 좌측면, 우측면, 상교합면, 하교합면 및 스마일 사진)에 대한 데이터셋
공공 및 민간 인공지능 정보기술의 개발을 촉진하기 위한 치과 임상사진 이미지의 인공지능 학습용 데이터셋 구축 및 이용 환경의 제공 - 선제적인 치과 임상사진 이미지 데이터셋의 구축과 이에 기반한 기술개발 및 사업화로 국내 기업의 글로벌 경쟁력 선점
| 데이터 영역 | 헬스케어 | 데이터 유형 | 이미지 |
|---|---|---|---|
| 데이터 형식 | 데이터 출처 | 컨소시엄 병원 PACS | |
| 라벨링 유형 | 세그멘테이션(이미지) / 폴리라인(이미지) / 분류태그(이미지) | 라벨링 형식 | JSON |
| 데이터 활용 서비스 | 부정교합 진단 AI | 데이터 구축년도/ 데이터 구축량 |
2022년/42,612 |
1. 데이터 구축 규모
| 데이터 유형 | 구축 데이터량 | 원천데이터 형식 | 라벨링 형식 | 라벨링 유형 |
|---|---|---|---|---|
| 이미지 | 7,092명 | jpg | json | 세그멘테이션 |
| (42,552 장) | 폴리라인 | |||
| 분류태그 |
2. 데이터 분포
| A자료 | B자료 | 총합 | |||||
|---|---|---|---|---|---|---|---|
| 10대 | 20대 | 30대 | 40대 | 총계 | |||
| 총계 | 1,455명 | 1,723명 | 1,401명 | 1,402명 | 5,981명 | 1,111명 | 7,092명 |
| (8,730장) | (10,338장) | (8,406장) | (8,412장) | (35,886장) | (6,666장) | (42,552장) | |
* 1명의 데이터셋은 6장의 이미지로 구성
* 치료 후 자료 1,111명의 데이터셋은 치료 전 자료에 pair가 존재함
학습모델 후보군
| 데이터명 | 라벨링 대상 | 라벨링 방법 | 학습모델 후보군 |
|---|---|---|---|
| 구내 임상사진 | 치아경계 | Polygon | MS R-CNN, |
| 충치영역 | Polyline | DeepLab v3.1 | |
| 치축 | Polyline | ||
| 대구치관계 | 분류 | DenseNet121 | |
| 스마일 사진 | 입술경계 | Polygon | MS R-CNN, |
| 안모 정중선 | Polyline
|
DeepLab v3.1 |
학습모델 후보군별 선정기준 및 적합성 검토
| 후보 | 모델명 | 내 용 | 선정기준 | 적합성 검토 | |
|---|---|---|---|---|---|
| 기준 | 값 | ||||
| 1 | DenseNet 121 | 학습 모델명: | 최신성 | 하 | - 구내 임상사진을 입력 받아 대구치관계 클래스로 분류 |
| 대구치관계 분류 | 안정성 | 상 | - 2016년 발표된 모델로, 다수의 구현사례가 존재하며, 학습용이성, 사전학습모델 제공, 안정성 측면에서 뛰어남 | ||
| 입력: 이미지 | 성능지표 | 중 | - 성능은 최근에 발표된 모델에 비해 다소 낮음 | ||
| 출력: 클래스 | 학습용이성 | 상 | |||
| 구조: CNN 기반 | 사전학습모델 | 상 | |||
| 2 | EfficientDet | 학습 모델명: | 최신성 | 중 | - 구내 임상사진을 입력 받아 상실치아를 식별 |
| 상실치아 인식 모델 | 안정성 | 상 | - 2019년 발표된 모델로, 다수의 구현사례가 존재함 | ||
| 입력: 이미지 | 성능지표 | 상 | - 다수의 사례에서 객체인식모델로 적용되었으며 높은 성능을 보여주고 있음 | ||
| 출력: 클래스 | 학습용이성 | 중 | - EfficientNet을 기본으로 하고 있음. 모델의 크기가 증가할수록 많은 리소스를 요구하고 있어서 B4 이상 학습은 많은 GPU 메모리를 요구함 | ||
| 구조: CNN 기반 | 사전학습모델 | 상 | |||
| 3 | Mask Scoring R-CNN | 학습 모델명: | 최신성 | 하 | - 이미지를 입력받아 특정 클래스의 세그멘테이션을 식별 |
| 영역분할(폴리곤, 폴리라인) | 안정성 | 상 | - 2019년에 발표된 모델로 Mask R-CNN의 단점을 보강한 모델 | ||
| 입력: 이미지 | 성능지표 | 중 | - 검증된 구현체가 존재함 | ||
| 출력: 세그먼테이션 클래스 | 학습용이성 | 중 | |||
| 구조: CNN 기반 | 사전학습모델 | 중 | |||
| 4 | DeepLab v3.1 | 학습 모델명: | 최신성 | 하 | - 이미지를 입력받아 특정 클래스의 세그멘테이션을 식별 |
| 영역분할(폴리곤, 폴리라인) | 안정성 | 상 | - 2014년에 발표된 모델을 2017년에 업그레이드한 모델로 이미지 세그멘테이션에서 널리 사용되는 모델 | ||
| 입력: 이미지 | 성능지표 | 중 | - 다양한 구현체가 존재함 | ||
| 출력: 세그먼테이션 클래스 | 학습용이성 | 상 | |||
| 구조: CNN 기반 | 사전학습모델 | 상
|
|||
* MS R-CNN, DenseNet 121 모델로 최종선정
학습 모델 개발
○ 영역 탐지 관련 모델: mask scoring R-CNN
- 치과 임상사진 이미지 상 중요한 임상 정보 영역의 분할 경계를 탐지
- 치아 경계, 치축, 안모 중심선, 충치, 입술 경계에 해당하는 영역 분할을 정확하게 수행할 수 있는 모델을 개발
○ 임상 진단 분류 모델: DenseNet 121
- 치과교정 임상에 있어 부정교합 진단 분류를 수행
- 치아 대구치 관계를 기반으로 하는 치과교정학 부정교합 분석 진단을 수행하는 모델을 개발
데이터 구성
○ 환자별 이미지 종류
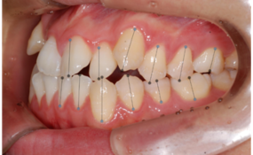
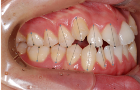
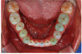
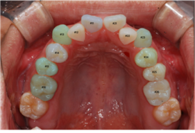
- 개구기 정면 이미지, 개구기 좌측 이미지, 개구가 우측 이미지, 교합면 상악 아미지, 교합면 하악 이미지, 스마일 이미지

○ 객체 종류
- segmentation: 치아 경계, 충치, 입술 경계
- polyline: 치축, 안모정중선
- class: 교합면 관계
○ 객체 카테고리
| 카테고리 종류 | category_id 범위 | 설명 |
|---|---|---|
| 치아경계 | 0, 1, 2, 3, 4, 5, 8, 9, 10, 11, 12, 13, 16, 17, 18, 19, 20, 21, 24, 25, 26, 27, 28 29, | tooth number system FDI 에 매핑함 |
| categoty_id : FDI | ||
| 0~5:11~16, 8~13:21~26, 16~21:31~36, 24~29:41~46 | ||
| 충치 | 32 | |
| 입술경계 | 33 | |
| 치축 | 34 | |
| 안모정중선 | 35 | |
| 대구치관계 | 98,99,100 | 교합면 관계를 매핑함 |
○ 폴더 구조 예시 (이미지/라벨링)

데이터 포맷
○ 이미지 폴더 구조
- 이미지 폴더 root
- 환자 번호
- front.png
- left.png
- right.png
- up.png
- bottom.png
라벨링 포맷 규칙
annotation: {
image_id: string
category_id: number
segmentation: array
img_type: {
path: string
position: string
}
polyline: array
class: number
}
이미지/라벨링 예시
| 이미지 | 라벨링 | |
|---|---|---|
| upper |
치아 경계
|
{ |
| "image_id": "1400_upper.png", | ||
| "category_id": 0, | ||
| "segmentation": [ | ||
| [ | ||
| 1563, | ||
| 479 | ||
| ], | ||
| ... | ||
| [ | ||
| 1506, | ||
| 435 | ||
| ] | ||
| ], | ||
| "img_type": { | ||
| "position": "upper", | ||
| "path": "./images/1400/upper.png" | ||
| }, | ||
| "polyline": null, | ||
| "class": null | ||
| }, | ||
| lower |
치아경계
|
{ |
| "image_id": "1400_lower.png", | ||
| "category_id": 0, | ||
| "segmentation": [ | ||
| [ | ||
| 1563, | ||
| 479 | ||
| ], | ||
| ... | ||
| [ | ||
| 1506, | ||
| 435 | ||
| ] | ||
| ], | ||
| "img_type": { | ||
| "position": "lower", | ||
| "path": "./images/1400/lower.png" | ||
| }, | ||
| "polyline": null, | ||
| "class": null | ||
| }, | ||
| left |
치아경계/치축/대구치관계
|
{ |
| "image_id": "1400_left.png", | ||
| "category_id": 0, | ||
| "segmentation": [ | ||
| [ | ||
| 2655, | ||
| 770 | ||
| ], | ||
| ... | ||
| [ | ||
| 2699, | ||
| 699 | ||
| ] | ||
| ], | ||
| "img_type": { | ||
| "position": "left", | ||
| "path": "./images/1400/left.png" | ||
| }, | ||
| "polyline": null, | ||
| "class": null | ||
| }, | ||
| { | ||
| "image_id": "1400_left.png", | ||
| "category_id": 34, | ||
| "segmentation": null, | ||
| "img_type": { | ||
| "position": "left", | ||
| "path": "./images/1400/left.png" | ||
| }, | ||
| "polyline": [ | ||
| [ | ||
| 1994, | ||
| 1937 | ||
| ], | ||
| [ | ||
| 2052, | ||
| 1490 | ||
| ] | ||
| ], | ||
| "class": null | ||
| }, | ||
| { | ||
| "image_id": "1400_left.png", | ||
| "category_id": 100, | ||
| "segmentation": null, | ||
| "img_type": { | ||
| "position": "left", | ||
| "path": "./images/1400/left.png" | ||
| }, | ||
| "polyline": null, | ||
| "class": 100 | ||
| }, | ||
| right |
치아경계/치축/대구치관계
|
{ |
| "image_id": "1400_right.png", | ||
| "category_id": 8, | ||
| "segmentation": [ | ||
| [ | ||
| 780, | ||
| 999 | ||
| ], | ||
| ... | ||
| [ | ||
| 784, | ||
| 945 | ||
| ] | ||
| ], | ||
| "img_type": { | ||
| "position": "right", | ||
| "path": "./images/1400/right.png" | ||
| }, | ||
| "polyline": null, | ||
| "class": null | ||
| }, | ||
| { | ||
| "image_id": "1400_right.png", | ||
| "category_id": 34, | ||
| "segmentation": null, | ||
| "img_type": { | ||
| "position": "right", | ||
| "path": "./images/1400/right.png" | ||
| }, | ||
| "polyline": [ | ||
| [ | ||
| 1041, | ||
| 611 | ||
| ], | ||
| [ | ||
| 918, | ||
| 1272 | ||
| ] | ||
| ], | ||
| "class": null | ||
| }, | ||
| { | ||
| "image_id": "1400_right.png", | ||
| "category_id": 100, | ||
| "segmentation": null, | ||
| "img_type": { | ||
| "position": "right", | ||
| "path": "./images/1400/right.png" | ||
| }, | ||
| "polyline": null, | ||
| "class": 100 | ||
| }, | ||
| front |
치아경계/치축
|
{ |
| "image_id": "1400_front.png", | ||
| "category_id": 0, | ||
| "segmentation": [ | ||
| [ | ||
| 1620, | ||
| 735 | ||
| ], | ||
| ... | ||
| [ | ||
| 1649, | ||
| 714 | ||
| ] | ||
| ], | ||
| "img_type": { | ||
| "position": "front", | ||
| "path": "./images/1400/front.png" | ||
| }, | ||
| "polyline": null, | ||
| "class": null | ||
| }, | ||
| { | ||
| "image_id": "1400_front.png", | ||
| "category_id": 34, | ||
| "segmentation": null, | ||
| "img_type": { | ||
| "position": "front", | ||
| "path": "./images/1400/front.png" | ||
| }, | ||
| "polyline": [ | ||
| [ | ||
| 1738, | ||
| 706 | ||
| ], | ||
| [ | ||
| 1693, | ||
| 1315 | ||
| ] | ||
| ], | ||
| "class": null | ||
| }, | ||
| smile |
입술경계/안모정중선
|
{ |
| "image_id": "1400_smile.png", | ||
| "category_id": 33, | ||
| "segmentation": [ | ||
| [ | ||
| 112, | ||
| 80 | ||
| ], | ||
| ... | ||
| [ | ||
| 118, | ||
| 80 | ||
| ] | ||
| ], | ||
| "img_type": { | ||
| "position": "smile", | ||
| "path": "./images/1400/smile.png" | ||
| }, | ||
| "polyline": null, | ||
| "class": null | ||
| }, | ||
|
|
| Category | Sub-1 | Sub-2 | 속성 설명 | 데이터 타입 |
|---|---|---|---|---|
| Annotation 정보 | image_id | - | 이미지 구분 | string |
| category_id | 치아경계번호, 충치, 입술, 치축, 안모정중선, 대구치관계 | number | ||
| segmentation | 치아경계, 충치, 입술 | array([x, y]] | ||
| img_type | path | 이미지 경로 | string | |
| position | 상하좌우정면, 스마일 | string | ||
| polyline | - | 치축, 안모정중선 | array([x, y]] | |
| class | 대구치관계 | number |
실제 예시
{
"annotations": [
{
"image_id": "0_lower.png",
"category_id": 16,
"segmentation": [
[
1026,
1064
],
[
1042,
1031
],
[
1060,
1014
],
[
1079,
1005
],
[
1107,
1013
],
[
1125,
1033
],
[
1135,
1051
],
[
1143,
1089
],
[
1144,
1111
],
[
1161,
1144
],
[
1165,
1197
],
[
1155,
1213
],
[
1125,
1221
],
[
1102,
1225
],
[
1063,
1222
],
[
1041,
1216
],
[
1020,
1208
],
[
1004,
1193
],
[
984,
1169
],
[
984,
1144
],
[
996,
1109
],
[
1017,
1084
]
],
"img_type": {
"position": "lower",
"path": "./images/0/lower.png"
},
"polyline": null,
"class": null
},
]
}
Meta JSON structure
○ 환자의 meta 정보로 성별, 나이대 정보를 포함
| Category | Sub-1 | Sub-2 | 속성 설명 | 데이터 타입 |
|---|---|---|---|---|
| 환자 정보 | gender | - | 성별 | string |
| age | - | 나이대(10 단위) | number | |
| patient_id | annotation과 연결되는 환자 ID | number
|
{
"info": [
{
"Gender": "F",
"Age": 4,
"patient_id": 2976
},
{
"Gender": "M",
"Age": 2,
"patient_id": 2986
},
| 책임자명 | 전화번호 | 대표이메일 | 담당업무 |
|---|---|---|---|
| 양일형 | 02-6256-3242 | drortho.ih@gmail.com | 총괄책임자 |
| 기관명 | 담당업무 |
|---|---|
| 경북대학교 산학협력단 | 데이터 수집, 전처리 및 치과의사 전문 라벨링 |
| 경희대학교 산학협력단 | 데이터 수집, 전처리 및 치과의사 전문 라벨링 |
| 단국대학교 산학협력단 | 데이터 수집, 전처리 및 치과의사 전문 라벨링 |
| 삼성서울병원 | 데이터 수집, 전처리 및 치과의사 전문 라벨링 |
| 원광대학교 산학협력단 | 데이터 수집, 전처리 및 치과의사 전문 라벨링 |
| 한양대학교 산학협력단 | 데이터 수집, 전처리 및 치과의사 전문 라벨링 |
| 광운대학교 산학협력단 | 데이터센터 구성 및 데이터 관리 |
| 대전보건대학교 산학협력단 | 치기공사 작업자 관리 |
| ㈜디디에이치 | 인공지능 학습모델 개발 및 사업화, 시범서비스 개발 |
| 담당자명 | 전화번호 | 이메일 |
|---|---|---|
| 양일형 | 02-6256-3242 | drortho.ih@gmail.com |