| 버전 | 일자 | 변경내용 | 비고 |
|---|---|---|---|
| 1.1 | 2024-01-19 | 데이터 최종 개방 | |
| 1.0 | 2023-07-26 | 데이터 개방 | Beta Version |
| 일자 | 변경내용 | 비고 |
|---|---|---|
| 2025-09-05 | 기타 | 데이터설명서, 활용가이드라인, 데이터통계 수정 |
| 2025-01-06 | 데이터셋 변경 | 메타데이터 데이터 구축량 정보 수정 |
| 2024-03-19 | 산출물 최종 공개 |
대표적인 소아청소년 정신질환인 자폐스펙트럼장애(Autism Spectrum Disorder: ASD), 주의력결핍과잉행동장애(Attention Deficit Hyperactivity Disorder: ADHD) 및 기타 정신질환[발달지연(Developmental delay: DD), 정서장애(Emotional disorder: ED)]을 진단받은 소아청소년과 정상발달을 보이는 소아청소년의 안저 이미지 데이터.
ASD, ADHD와 같은 소아청소년 정신질환을 선별하고 진단을 보조하기 위한 바이오마커의 하나로서 소아청소년의 대규모 안저 이미지 및 임상 데이터를 구축함.
| 데이터 영역 | 헬스케어 | 데이터 유형 | 이미지 |
|---|---|---|---|
| 데이터 형식 | 원천데이터(dcm), 메타 데이터(csv), 라벨링 데이터(json, png) | 데이터 출처 | 자체수집 |
| 라벨링 유형 | 바운딩 박스 | 라벨링 형식 | json |
| 데이터 활용 서비스 | 해당없음 | 데이터 구축년도/ 데이터 구축량 |
2022년/6,737 |
● 데이터 구축 규모
- 원천 데이터
1) 정상, ASD, ADHD, 기타 정신질환군의 안저 이미지 데이터 총 6,146건(양안 데이터, 일부 단안 포함)
2) 메타 데이터 3,202건(대상자 기준)
- 라벨링 데이터
1) json 파일: 6,146건
2) png 파일: 1,038,674건(각 채널별 30도씩 회전한 이미지, 원본 이미지 1건당 169건)
| 데이터 종류 | 원천데이터 | 라벨링 데이터 | ||
|---|---|---|---|---|
| 자료형태 | 이미지 | 텍스트 | 텍스트 | 이미지 |
| (dcm) | (csv) | (json) | (png) | |
| 데이터 규모 | 6,146건 | 3,202건 | 6,146건 | 1,038,674건 |
● 데이터 분포
- 클래스별 분포
| 구분 | 구성비 |
|---|---|
| 정상 | 32.92% |
| ADHD | 20.14% |
| ASD | 19.69% |
| ETC | 27.25% |
- 연령대별 분포
| 구분 | 구성비 |
|---|---|
| 영유아(만 7세 미만) | 27.70% |
| 학령기(만 7세 이상~13세 미만) | 43.57% |
| 청소년 (만 13세 이상~21세 미만) | 28.73% |
● 학습 모델
학습모델은 최신 기술 동향 및 높은 성능 기준으로 4가지 후보군을 선정함.
- VGG-19
- ResNet50 (224x224 pretrained)
- ResNeXt50
- EfficientNet_B7 (600x600 pretrained)
구현한 모델 중 소아청소년 안저 이미지 기반 ASD, ADHD 분류에 가장 적합한 즉 성능치가 가장 높은 모델을 선정하였으며, 성능치가 유사할 경우 처리속도가 빠른 모델을 최종 선정하였음.
| 구분 | 내 용 | |
|---|---|---|
| VGG-19 (2014) |
알고리즘 | VGG-19 |
| 선정사유 | 옥스포드 대학의 연구팀 VGG에 의해 개발된 모델로써, 2014년 이미지넷 이미지 인식 대회 (ILSVRC 대회)에서 준우승을 한 모델임. 19개의 층으로 구성되어 층이 깊어질수록 분류 에러가 감소하여 성능이 좋아짐을 확인함. | |
|
transfer learning 기법을 활용해서 안저 질환들을 93.5% 정확도로 분류했던 사전연구를 근거로 선정하게 되었음.
|
||
| [관련연구] | ||
| Das, A., at el (2019, July). Classification of retinal diseases using transfer learning approach. In 2019 International Conference on Communication and Electronics Systems (ICCES) (pp. 2080-2084). IEEE. (Epoch: 150, Learning rate[Ir]: 0.001, Accurarcy: 93.58%) | ||
| ResNet-50(2015)/ ResNeXt50(2016) | 알고리즘 | ResNet-50/ ResNeX50 |
| 선정사유 | 50개 계층으로 구성된 컨벌루션 신경망으로, ImageNet 데이터베이스의 1백만 개가 넘는 영상에 대해 훈련된 신경망의 사전 훈련된 버전을 불러올 수 있는 특징을 가짐. | |
| 자폐아이를 스크리닝하는데 사용되어 0.9 (ROC) 결과를 도출하며 본 연구의 목표와 가장 부합한 사전 연구이기에 선정하게 되었음. | ||
| ResNeXt50는 기존 ResNet50을 변형한 모델로 2016년 ILSVRC에서 2등을 달성하였음. 하나의 input을 여러 경로로 나누어 학습한 후 합칠 후 있도록 변형한 모델임. | ||
![]() |
||
| [관련논문] | ||
| Lai, M., at el. (2020). A machine learning approach for retinal images analysis as an objective screening method for children with autism spectrum disorder. EClinicalMedicine, 28, 100588. | ||
| EfficientNet_B7 (2019) | 알고리즘 | EfficientNet_B7 |
| 선정사유 | imagenet 분류와 전이학습을 통한 보통의 이미지 분류 모두에서 가장 높은 정확도에 도달한 효율적인 모델로써, MnasNet 모델을 확장하는 휴리스틱 방식을 도입함으로써 EfficientNet은 다양한 규모에서 효율성과 정확성의 좋은 조합을 나타내는 모델 제품군 (B0 ~ B7)을 제공함. | |
| 다른 분류모델보다 적은 양의 데이터로 높은 정확도를 가지는 모델 비교결과가 나왔기에 선정하게 되었음. | ||
| [관련논문] | ||
| Tan, M., at el (2019, May). Efficientnet: Rethinking model scaling for convolutional neural networks. In International conference on machine learning (pp. 6105-6114). PMLR. (Accurarcy: 84.4%) | ||
정상 vs. ASD 분류 모델의 경우 ResNet50와 ResNeXt50에서 가장 높은 성능을 보였으며 정상 vs. ADHD 분류모델의 경우 ResNeXt50와 EfficientNetB0에서 가장 높은 성능을 보였음.
| 정상 vs. ASD | 정상 vs. ADHD | ||||||
|---|---|---|---|---|---|---|---|
| model_ | channel_ | is_pretrained | auc | model_ | channel_ | is_pretrained | auc |
| name | name | name | name | ||||
| ResNet50 | r | Pretrained | 0.999215 | ResNeXt50 | r | Pretrained | 0.9987446 |
| ResNeXt50 | r | Pretrained | 0.998274 | EfficientNetB0 | redfree_gray | Scratch | 0.9984058 |
| ResNet50 | gray | Pretrained | 0.996117 | ResNet50 | r | Pretrained | 0.9931053 |
| ResNeXt50 | redfree_rgb | Pretrained | 0.995372 | ResNeXt50 | g | Scratch | 0.9911127 |
| 0ResNet50 | r | Scratch | 0.994627 | ResNet50 | b | Pretrained | 0.9906344 |
| ResNeXt50 | gray | Pretrained | 0.993176 | ResNeXt50 | r | Scratch | 0.985573 |
| ResNet50 | g | Pretrained | 0.993 | ResNet50 | gray | Pretrained | 0.9848955 |
| ResNeXt50 | redfree_gray | Pretrained | 0.990274 | ResNet50 | redfree_rgb | Pretrained | 0.9848557 |
| ResNeXt50 | g | Pretrained | 0.988901 | ResNeXt50 | redfree_rgb | Pretrained | 0.9808305 |
| ResNet50 | redfree_rgb | Pretrained | 0.98843 | ResNeXt50 | b | Pretrained | 0.9781205 |
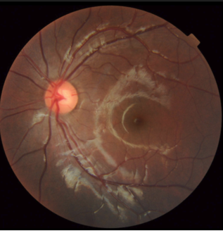
● 데이터 포맷
- 안저 이미지 데이터 예시(dcm)

- 라벨링 데이터 구성
| 구분 | No | 속성명 | 속성 및 내용 |
|---|---|---|---|
| 필수 | 1 | info | 데이터셋 정보 (중분류) |
| 필수 | 1-2 | organization_code | 데이터셋 수집(촬영) 기관 |
| 필수 | 1-3 | patient_id | 데이터셋 환자 ID |
| 필수 | 1-4 | class | 데이터셋 클래스(레이블) |
| 필수 | 1-5 | direction | 데이터셋 안구 촬영 방향 |
| 필수 | 1-6 | annotations | 라벨링 정보 (중분류) |
| 필수 | 1-7 | bbox_cup | 라벨링 Cup 바운딩박스 정보 |
| 필수 | 1-8 | x1 | 라벨링 Cup 바운딩박스 x1 좌표 |
| 필수 | 1-9 | y1 | 라벨링 Cup 바운딩박스 y1 좌표 |
| 필수 | 1-10 | x2 | 라벨링 Cup 바운딩박스 x2 좌표 |
| 필수 | 1-11 | y2 | 라벨링 Cup 바운딩박스 y2 좌표 |
| 필수 | 4 | bbox_disk | 라벨링 Disk 바운딩박스 정보 |
| 필수 | 4-1 | x1 | 라벨링 Disk 바운딩박스 x1 좌표 |
| 필수 | 4-2 | y1 | 라벨링 Disk 바운딩박스 y1 좌표 |
| 필수 | 4-3 | x2 | 라벨링 Disk 바운딩박스 x2 좌표 |
| 필수 | 4-4 | y2 | 라벨링 Disk 바운딩박스 y2 좌표 |
| 필수 | 5 | cd_ratio | 라벨링 Cup/Disk ratio 정보 |
| 필수 | 5-1 | vertical | 라벨링 Cup/Disk ratio 수직 비율 |
| 필수 | 5-2 | horizontal | 라벨링 Cup/Disk ratio 수평 비율 |
| 필수 | 5-3 | area | 라벨링 Cup/Disk ratio 면적 비율 |
| 필수 | 6 | cd_margin | 라벨링 Cup/Disk ratio 여백 정보 |
| 필수 | 6-1 | upper | 라벨링 Cup/Disk ratio 상단 여백값 |
| 필수 | 6-2 | lower | 라벨링 Cup/Disk ratio 하단 여백값 |
| 필수 | 6-3 | left | 라벨링 Cup/Disk ratio 왼쪽 여백값 |
| 필수 | 6-4 | right | 라벨링 Cup/Disk ratio 오른쪽 여백값 |
| 필수 | 7 | area_eye_ratio | 라벨링 면적 대비 Cup/Disk 비율 정보 |
| 필수 | 7-1 | disk | 라벨링 면적 대비 Disk 비율 |
| 필수 | 7-2 | cup | 라벨링 면적 대비 Cup 비율 |
| 필수 | 8 | filename | 데이터셋 파일명 정보 |
| 필수 | 9 | image_original | 데이터셋 원본 파일 정보 |
| 필수 | 9-1 | filename | 데이터셋 원본 파일명 |
| 필수 | 10 | image_600px_rgb | 데이터셋 600px RGB 파일명 정보 |
| 필수 | 10-1 | filename_d0 | 데이터셋 600px RGB 파일명 (0도 회전) |
| 필수 | 10-2 | filename_d30 | 데이터셋 600px RGB 파일명 (30도 회전) |
| 필수 | 10-3 | filename_d60 | 데이터셋 600px RGB 파일명 (60도 회전) |
| 필수 | 10-4 | filename_d90 | 데이터셋 600px RGB 파일명 (90도 회전) |
| 필수 | 10-5 | filename_d120 | 데이터셋 600px RGB 파일명 (120도 회전) |
| 필수 | 10-6 | filename_d150 | 데이터셋 600px RGB 파일명 (150도 회전) |
| 필수 | 10-7 | filename_d180 | 데이터셋 600px RGB 파일명 (180도 회전) |
| 필수 | 10-8 | filename_d210 | 데이터셋 600px RGB 파일명 (210도 회전) |
| 필수 | 10-9 | filename_d240 | 데이터셋 600px RGB 파일명 (240도 회전) |
| 필수 | 10-10 | filename_d270 | 데이터셋 600px RGB 파일명 (270도 회전) |
| 필수 | 10-11 | filename_d300 | 데이터셋 600px RGB 파일명 (300도 회전) |
| 필수 | 10-12 | filename_d330 | 데이터셋 600px RGB 파일명 (330도 회전) |
| 필수 | 11 | image_600px_gray | 데이터셋 600px 회색조 파일명 정보 |
| 필수 | 11-1 | filename_d0 | 데이터셋 600px 회색조 파일명 (0도 회전) |
| 필수 | 11-2 | filename_d30 | 데이터셋 600px 회색조 파일명 (30도 회전) |
| 필수 | 11-3 | filename_d60 | 데이터셋 600px 회색조 파일명 (60도 회전) |
| 필수 | 11-4 | filename_d90 | 데이터셋 600px 회색조 파일명 (90도 회전) |
| 필수 | 11-5 | filename_d120 | 데이터셋 600px 회색조 파일명 (120도 회전) |
| 필수 | 11-6 | filename_d150 | 데이터셋 600px 회색조 파일명 (150도 회전) |
| 필수 | 11-7 | filename_d180 | 데이터셋 600px 회색조 파일명 (180도 회전) |
| 필수 | 11-8 | filename_d210 | 데이터셋 600px 회색조 파일명 (210도 회전) |
| 필수 | 11-9 | filename_d240 | 데이터셋 600px 회색조 파일명 (240도 회전) |
| 필수 | 11-11 | filename_d270 | 데이터셋 600px 회색조 파일명 (270도 회전) |
| 필수 | 11-12 | filename_d300 | 데이터셋 600px 회색조 파일명 (300도 회전) |
| 필수 | 11-13 | filename_d330 | 데이터셋 600px 회색조 파일명 (330도 회전) |
| 필수 | 12 | image_r | 데이터셋 R 채널 파일명 정보 |
| 필수 | 12-1 | filename_d0 | 데이터셋 R 채널 파일명 (0도 회전) |
| 필수 | 12-2 | filename_d30 | 데이터셋 R 채널 파일명 (30도 회전) |
| 필수 | 12-3 | filename_d60 | 데이터셋 R 채널 파일명 (60도 회전) |
| 필수 | 12-4 | filename_d90 | 데이터셋 R 채널 파일명 (90도 회전) |
| 필수 | 12-5 | filename_d120 | 데이터셋 R 채널 파일명 (120도 회전) |
| 필수 | 12-6 | filename_d150 | 데이터셋 R 채널 파일명 (150도 회전) |
| 필수 | 12-7 | filename_d180 | 데이터셋 R 채널 파일명 (180도 회전) |
| 필수 | 12-8 | filename_d210 | 데이터셋 R 채널 파일명 (210도 회전) |
| 필수 | 12-9 | filename_d240 | 데이터셋 R 채널 파일명 (240도 회전) |
| 필수 | 12-10 | filename_d270 | 데이터셋 R 채널 파일명 (270도 회전) |
| 필수 | 12-11 | filename_d300 | 데이터셋 R 채널 파일명 (300도 회전) |
| 필수 | 12-12 | filename_d330 | 데이터셋 R 채널 파일명 (330도 회전) |
| 필수 | 13 | image_g | 데이터셋 G 채널 파일명 정보 |
| 필수 | 13-1 | filename_d0 | 데이터셋 G 채널 파일명 (0도 회전) |
| 필수 | 13-2 | filename_d30 | 데이터셋 G 채널 파일명 (30도 회전) |
| 필수 | 13-3 | filename_d60 | 데이터셋 G 채널 파일명 (60도 회전) |
| 필수 | 13-4 | filename_d90 | 데이터셋 G 채널 파일명 (90도 회전) |
| 필수 | 13-5 | filename_d120 | 데이터셋 G 채널 파일명 (120도 회전) |
| 필수 | 13-6 | filename_d150 | 데이터셋 G 채널 파일명 (150도 회전) |
| 필수 | 13-7 | filename_d180 | 데이터셋 G 채널 파일명 (180도 회전) |
| 필수 | 13-8 | filename_d210 | 데이터셋 G 채널 파일명 (210도 회전) |
| 필수 | 13-9 | filename_d240 | 데이터셋 G 채널 파일명 (240도 회전) |
| 필수 | 13-10 | filename_d270 | 데이터셋 G 채널 파일명 (270도 회전) |
| 필수 | 13-11 | filename_d300 | 데이터셋 G 채널 파일명 (300도 회전) |
| 필수 | 13-12 | filename_d330 | 데이터셋 G 채널 파일명 (330도 회전) |
| 필수 | 14 | image_b | 데이터셋 B 채널 파일명 정보 |
| 필수 | 14-1 | filename_d0 | 데이터셋 B 채널 파일명 (0도 회전) |
| 필수 | 14-2 | filename_d30 | 데이터셋 B 채널 파일명 (30도 회전) |
| 필수 | 14-3 | filename_d60 | 데이터셋 B 채널 파일명 (60도 회전) |
| 필수 | 14-4 | filename_d90 | 데이터셋 B 채널 파일명 (90도 회전) |
| 필수 | 14-5 | filename_d120 | 데이터셋 B 채널 파일명 (120도 회전) |
| 필수 | 14-6 | filename_d150 | 데이터셋 B 채널 파일명 (150도 회전) |
| 필수 | 14-7 | filename_d180 | 데이터셋 B 채널 파일명 (180도 회전) |
| 필수 | 14-8 | filename_d210 | 데이터셋 B 채널 파일명 (210도 회전) |
| 필수 | 14-9 | filename_d240 | 데이터셋 B 채널 파일명 (240도 회전) |
| 필수 | 14-10 | filename_d270 | 데이터셋 B 채널 파일명 (270도 회전) |
| 필수 | 14-11 | filename_d300 | 데이터셋 B 채널 파일명 (300도 회전) |
| 필수 | 14-12 | filename_d330 | 데이터셋 B 채널 파일명 (330도 회전) |
| 필수 | 15 | image_redfree_rgb | 데이터셋 Redfree RGB 파일명 정보 |
| 필수 | 15-1 | filename_d0 | 데이터셋 Redfree RGB 파일명 (0도 회전) |
| 필수 | 15-2 | filename_d30 | 데이터셋 Redfree RGB 파일명 (30도 회전) |
| 필수 | 15-3 | filename_d60 | 데이터셋 Redfree RGB 파일명 (60도 회전) |
| 필수 | 15-4 | filename_d90 | 데이터셋 Redfree RGB 파일명 (90도 회전) |
| 필수 | 15-5 | filename_d120 | 데이터셋 Redfree RGB 파일명 (120도 회전) |
| 필수 | 15-6 | filename_d150 | 데이터셋 Redfree RGB 파일명 (150도 회전) |
| 필수 | 15-7 | filename_d180 | 데이터셋 Redfree RGB 파일명 (180도 회전) |
| 필수 | 15-8 | filename_d210 | 데이터셋 Redfree RGB 파일명 (210도 회전) |
| 필수 | 15-9 | filename_d240 | 데이터셋 Redfree RGB 파일명 (240도 회전) |
| 필수 | 15-10 | filename_d270 | 데이터셋 Redfree RGB 파일명 (270도 회전) |
| 필수 | 15-11 | filename_d300 | 데이터셋 Redfree RGB 파일명 (300도 회전) |
| 필수 | 15-12 | filename_d330 | 데이터셋 Redfree RGB 파일명 (330도 회전) |
| 필수 | 16 | image_redfree_gray | 데이터셋 Redfree 회색조 파일명 정보 |
| 필수 | 16-1 | filename_d0 | 데이터셋 Redfree 회색조 파일명 (0도 회전) |
| 필수 | 16-2 | filename_d30 | 데이터셋 Redfree 회색조 파일명 (30도 회전) |
| 필수 | 16-3 | filename_d60 | 데이터셋 Redfree 회색조 파일명 (60도 회전) |
| 필수 | 16-4 | filename_d90 | 데이터셋 Redfree 회색조 파일명 (90도 회전) |
| 필수 | 16-5 | filename_d120 | 데이터셋 Redfree 회색조 파일명 (120도 회전) |
| 필수 | 16-6 | filename_d150 | 데이터셋 Redfree 회색조 파일명 (150도 회전) |
| 필수 | 16-7 | filename_d180 | 데이터셋 Redfree 회색조 파일명 (180도 회전) |
| 필수 | 16-8 | filename_d210 | 데이터셋 Redfree 회색조 파일명 (210도 회전) |
| 필수 | 16-9 | filename_d240 | 데이터셋 Redfree 회색조 파일명 (240도 회전) |
| 필수 | 16-11 | filename_d270 | 데이터셋 Redfree 회색조 파일명 (270도 회전) |
| 필수 | 16-12 | filename_d300 | 데이터셋 Redfree 회색조 파일명 (300도 회전) |
| 필수 | 16-13 | filename_d330 | 데이터셋 Redfree 회색조 파일명 (330도 회전) |
| 필수 | 17 | image_r_stretch | 데이터셋 R 채널 스트레칭 파일명 정보 |
| 필수 | 17-1 | filename_d0 | 데이터셋 R 채널 스트레칭 파일명 (0도 회전) |
| 필수 | 17-2 | filename_d30 | 데이터셋 R 채널 스트레칭 파일명 (30도 회전) |
| 필수 | 17-3 | filename_d60 | 데이터셋 R 채널 스트레칭 파일명 (60도 회전) |
| 필수 | 17-4 | filename_d90 | 데이터셋 R 채널 스트레칭 파일명 (90도 회전) |
| 필수 | 17-5 | filename_d120 | 데이터셋 R 채널 스트레칭 파일명 (120도 회전) |
| 필수 | 17-6 | filename_d150 | 데이터셋 R 채널 스트레칭 파일명 (150도 회전) |
| 필수 | 17-7 | filename_d180 | 데이터셋 R 채널 스트레칭 파일명 (180도 회전) |
| 필수 | 17-8 | filename_d210 | 데이터셋 R 채널 스트레칭 파일명 (210도 회전) |
| 필수 | 17-9 | filename_d240 | 데이터셋 R 채널 스트레칭 파일명 (240도 회전) |
| 필수 | 17-10 | filename_d270 | 데이터셋 R 채널 스트레칭 파일명 (270도 회전) |
| 필수 | 17-11 | filename_d300 | 데이터셋 R 채널 스트레칭 파일명 (300도 회전) |
| 필수 | 17-12 | filename_d330 | 데이터셋 R 채널 스트레칭 파일명 (330도 회전) |
| 필수 | 18 | image_g_stretch | 데이터셋 G 채널 스트레칭 파일명 정보 |
| 필수 | 18-1 | filename_d0 | 데이터셋 G 채널 스트레칭 파일명 (0도 회전) |
| 필수 | 18-2 | filename_d30 | 데이터셋 G 채널 스트레칭 파일명 (30도 회전) |
| 필수 | 18-3 | filename_d60 | 데이터셋 G 채널 스트레칭 파일명 (60도 회전) |
| 필수 | 18-4 | filename_d90 | 데이터셋 G 채널 스트레칭 파일명 (90도 회전) |
| 필수 | 18-5 | filename_d120 | 데이터셋 G 채널 스트레칭 파일명 (120도 회전) |
| 필수 | 18-6 | filename_d150 | 데이터셋 G 채널 스트레칭 파일명 (150도 회전) |
| 필수 | 18-7 | filename_d180 | 데이터셋 G 채널 스트레칭 파일명 (180도 회전) |
| 필수 | 18-8 | filename_d210 | 데이터셋 G 채널 스트레칭 파일명 (210도 회전) |
| 필수 | 18-9 | filename_d240 | 데이터셋 G 채널 스트레칭 파일명 (240도 회전) |
| 필수 | 18-10 | filename_d270 | 데이터셋 G 채널 스트레칭 파일명 (270도 회전) |
| 필수 | 18-11 | filename_d300 | 데이터셋 G 채널 스트레칭 파일명 (300도 회전) |
| 필수 | 18-12 | filename_d330 | 데이터셋 G 채널 스트레칭 파일명 (330도 회전) |
| 필수 | 19 | image_b_stretch | 데이터셋 B 채널 스트레칭 파일명 정보 |
| 필수 | 19-1 | filename_d0 | 데이터셋 B 채널 스트레칭 파일명 (0도 회전) |
| 필수 | 19-2 | filename_d30 | 데이터셋 B 채널 스트레칭 파일명 (30도 회전) |
| 필수 | 19-3 | filename_d60 | 데이터셋 B 채널 스트레칭 파일명 (60도 회전) |
| 필수 | 19-4 | filename_d90 | 데이터셋 B 채널 스트레칭 파일명 (90도 회전) |
| 필수 | 19-5 | filename_d120 | 데이터셋 B 채널 스트레칭 파일명 (120도 회전) |
| 필수 | 19-6 | filename_d150 | 데이터셋 B 채널 스트레칭 파일명 (150도 회전) |
| 필수 | 19-7 | filename_d180 | 데이터셋 B 채널 스트레칭 파일명 (180도 회전) |
| 필수 | 19-8 | filename_d210 | 데이터셋 B 채널 스트레칭 파일명 (210도 회전) |
| 필수 | 19-9 | filename_d240 | 데이터셋 B 채널 스트레칭 파일명 (240도 회전) |
| 필수 | 19-10 | filename_d270 | 데이터셋 B 채널 스트레칭 파일명 (270도 회전) |
| 필수 | 19-11 | filename_d300 | 데이터셋 B 채널 스트레칭 파일명 (300도 회전) |
| 필수 | 19-12 | filename_d330 | 데이터셋 B 채널 스트레칭 파일명 (330도 회전) |
| 필수 | 20 | image_redfree_rgb_stretch | 데이터셋 Redfree RGB 스트레칭 파일명 정보 |
| 필수 | 20-1 | filename_d0 | 데이터셋 Redfree RGB 스트레칭 파일명 (0도 회전) |
| 필수 | 20-2 | filename_d30 | 데이터셋 Redfree RGB 스트레칭 파일명 (30도 회전) |
| 필수 | 20-3 | filename_d60 | 데이터셋 Redfree RGB 스트레칭 파일명 (60도 회전) |
| 필수 | 20-4 | filename_d90 | 데이터셋 Redfree RGB 스트레칭 파일명 (90도 회전) |
| 필수 | 20-5 | filename_d120 | 데이터셋 Redfree RGB 스트레칭 파일명 (120도 회전) |
| 필수 | 20-6 | filename_d150 | 데이터셋 Redfree RGB 스트레칭 파일명 (150도 회전) |
| 필수 | 20-7 | filename_d180 | 데이터셋 Redfree RGB 스트레칭 파일명 (180도 회전) |
| 필수 | 20-8 | filename_d210 | 데이터셋 Redfree RGB 스트레칭 파일명 (210도 회전) |
| 필수 | 20-9 | filename_d240 | 데이터셋 Redfree RGB 스트레칭 파일명 (240도 회전) |
| 필수 | 20-10 | filename_d270 | 데이터셋 Redfree RGB 스트레칭 파일명 (270도 회전) |
| 필수 | 20-11 | filename_d300 | 데이터셋 Redfree RGB 스트레칭 파일명 (300도 회전) |
| 필수 | 20-12 | filename_d330 | 데이터셋 Redfree RGB 스트레칭 파일명 (330도 회전) |
| 필수 | 21 | image_redfree_gray_stretch | 데이터셋 Redfree 회색조 스트레칭 파일명 정보 |
| 필수 | 21-1 | filename_d0 | 데이터셋 Redfree 회색조 스트레칭 파일명 (0도 회전) |
| 필수 | 21-2 | filename_d30 | 데이터셋 Redfree 회색조 스트레칭 파일명 (30도 회전) |
| 필수 | 21-3 | filename_d60 | 데이터셋 Redfree 회색조 스트레칭 파일명 (60도 회전) |
| 필수 | 21-4 | filename_d90 | 데이터셋 Redfree 회색조 스트레칭 파일명 (90도 회전) |
| 필수 | 21-5 | filename_d120 | 데이터셋 Redfree 회색조 스트레칭 파일명 (120도 회전) |
| 필수 | 21-6 | filename_d150 | 데이터셋 Redfree 회색조 스트레칭 파일명 (150도 회전) |
| 필수 | 21-7 | filename_d180 | 데이터셋 Redfree 회색조 스트레칭 파일명 (180도 회전) |
| 필수 | 21-8 | filename_d210 | 데이터셋 Redfree 회색조 스트레칭 파일명 (210도 회전) |
| 필수 | 21-9 | filename_d240 | 데이터셋 Redfree 회색조 스트레칭 파일명 (240도 회전) |
| 필수 | 21-10 | filename_d270 | 데이터셋 Redfree 회색조 스트레칭 파일명 (270도 회전) |
| 필수 | 21-11 | filename_d300 | 데이터셋 Redfree 회색조 스트레칭 파일명 (300도 회전) |
| 필수 | 21-21 | filename_d330 | 데이터셋 Redfree 회색조 스트레칭 파일명 (330도 회전) |
라벨링 데이터 예시(json)
- 라벨링 데이터 예시(json)
{
"info": {
"organization_code": "1",
"patient_id": "0001",
"class": "ASD",
"direction": "L"
},
"annotations": {
"bbox_cup": {
"x1": 50.6,
"y1": 295.0,
"x2": 96.6,
"y2": 346.2
},
"bbox_disk": {
"x1": 14.0,
"y1": 268.4,
"x2": 109.6,
"y2": 382.0
},
"cd_ratio": {
"vertical": 0.4507,
"horizontal": 0.4812,
"area": 0.2169
},
"cd_margin": {
"upper": 26.6,
"lower": 35.8,
"left": 36.6,
"right": 13.0
},
"area_eye_ratio": {
"disk": 0.0323,
"cup": 0.007
}
},
"filename": {
"image_original": {
"filename": "1_0001_L_dicom.png"
},
"image_600px_rgb": {
"filename_d0": "1_0001_L_600px_d0.png",
"filename_d30": "1_0001_L_600px_d30.png",
"filename_d60": "1_0001_L_600px_d60.png",
"filename_d90": "1_0001_L_600px_d90.png",
"filename_d120": "1_0001_L_600px_d120.png",
"filename_d150": "1_0001_L_600px_d150.png",
"filename_d180": "1_0001_L_600px_d180.png",
"filename_d210": "1_0001_L_600px_d210.png",
"filename_d240": "1_0001_L_600px_d240.png",
"filename_d270": "1_0001_L_600px_d270.png",
"filename_d300": "1_0001_L_600px_d300.png",
"filename_d330": "1_0001_L_600px_d330.png"
},
"image_600px_gray": {
"filename_d0": "1_0001_L_gray_d0.png",
"filename_d30": "1_0001_L_gray_d30.png",
"filename_d60": "1_0001_L_gray_d60.png",
"filename_d90": "1_0001_L_gray_d90.png",
"filename_d120": "1_0001_L_gray_d120.png",
"filename_d150": "1_0001_L_gray_d150.png",
"filename_d180": "1_0001_L_gray_d180.png",
"filename_d210": "1_0001_L_gray_d210.png",
"filename_d240": "1_0001_L_gray_d240.png",
"filename_d270": "1_0001_L_gray_d270.png",
"filename_d300": "1_0001_L_gray_d300.png",
"filename_d330": "1_0001_L_gray_d330.png"
},
"image_r": {
"filename_d0": "1_0001_L_r_d0.png",
"filename_d30": "1_0001_L_r_d30.png",
"filename_d60": "1_0001_L_r_d60.png",
"filename_d90": "1_0001_L_r_d90.png",
"filename_d120": "1_0001_L_r_d120.png",
"filename_d150": "1_0001_L_r_d150.png",
"filename_d180": "1_0001_L_r_d180.png",
"filename_d210": "1_0001_L_r_d210.png",
"filename_d240": "1_0001_L_r_d240.png",
"filename_d270": "1_0001_L_r_d270.png",
"filename_d300": "1_0001_L_r_d300.png",
"filename_d330": "1_0001_L_r_d330.png"
},
"image_g": {
"filename_d0": "1_0001_L_g_d0.png",
"filename_d30": "1_0001_L_g_d30.png",
"filename_d60": "1_0001_L_g_d60.png",
"filename_d90": "1_0001_L_g_d90.png",
"filename_d120": "1_0001_L_g_d120.png",
"filename_d150": "1_0001_L_g_d150.png",
"filename_d180": "1_0001_L_g_d180.png",
"filename_d210": "1_0001_L_g_d210.png",
"filename_d240": "1_0001_L_g_d240.png",
"filename_d270": "1_0001_L_g_d270.png",
"filename_d300": "1_0001_L_g_d300.png",
"filename_d330": "1_0001_L_g_d330.png"
},
"image_b": {
"filename_d0": "1_0001_L_b_d0.png",
"filename_d30": "1_0001_L_b_d30.png",
"filename_d60": "1_0001_L_b_d60.png",
"filename_d90": "1_0001_L_b_d90.png",
"filename_d120": "1_0001_L_b_d120.png",
"filename_d150": "1_0001_L_b_d150.png",
"filename_d180": "1_0001_L_b_d180.png",
"filename_d210": "1_0001_L_b_d210.png",
"filename_d240": "1_0001_L_b_d240.png",
"filename_d270": "1_0001_L_b_d270.png",
"filename_d300": "1_0001_L_b_d300.png",
"filename_d330": "1_0001_L_b_d330.png"
},
"image_redfree_rgb": {
"filename_d0": "1_0001_L_redfree_rgb_d0.png",
"filename_d30": "1_0001_L_redfree_rgb_d30.png",
"filename_d60": "1_0001_L_redfree_rgb_d60.png",
"filename_d90": "1_0001_L_redfree_rgb_d90.png",
"filename_d120": "1_0001_L_redfree_rgb_d120.png",
"filename_d150": "1_0001_L_redfree_rgb_d150.png",
"filename_d180": "1_0001_L_redfree_rgb_d180.png",
"filename_d210": "1_0001_L_redfree_rgb_d210.png",
"filename_d240": "1_0001_L_redfree_rgb_d240.png",
"filename_d270": "1_0001_L_redfree_rgb_d270.png",
"filename_d300": "1_0001_L_redfree_rgb_d300.png",
"filename_d330": "1_0001_L_redfree_rgb_d330.png"
},
"image_redfree_gray": {
"filename_d0": "1_0001_L_redfree_gray_d0.png",
"filename_d30": "1_0001_L_redfree_gray_d30.png",
"filename_d60": "1_0001_L_redfree_gray_d60.png",
"filename_d90": "1_0001_L_redfree_gray_d90.png",
"filename_d120": "1_0001_L_redfree_gray_d120.png",
"filename_d150": "1_0001_L_redfree_gray_d150.png",
"filename_d180": "1_0001_L_redfree_gray_d180.png",
"filename_d210": "1_0001_L_redfree_gray_d210.png",
"filename_d240": "1_0001_L_redfree_gray_d240.png",
"filename_d270": "1_0001_L_redfree_gray_d270.png",
"filename_d300": "1_0001_L_redfree_gray_d300.png",
"filename_d330": "1_0001_L_redfree_gray_d330.png"
},
"image_r_stretch": {
"filename_d0": "1_0001_L_r_d0_stretch.png",
"filename_d30": "1_0001_L_r_d30_stretch.png",
"filename_d60": "1_0001_L_r_d60_stretch.png",
"filename_d90": "1_0001_L_r_d90_stretch.png",
"filename_d120": "1_0001_L_r_d120_stretch.png",
"filename_d150": "1_0001_L_r_d150_stretch.png",
"filename_d180": "1_0001_L_r_d180_stretch.png",
"filename_d210": "1_0001_L_r_d210_stretch.png",
"filename_d240": "1_0001_L_r_d240_stretch.png",
"filename_d270": "1_0001_L_r_d270_stretch.png",
"filename_d300": "1_0001_L_r_d300_stretch.png",
"filename_d330": "1_0001_L_r_d330_stretch.png"
},
"image_g_stretch": {
"filename_d0": "1_0001_L_g_d0_stretch.png",
"filename_d30": "1_0001_L_g_d30_stretch.png",
"filename_d60": "1_0001_L_g_d60_stretch.png",
"filename_d90": "1_0001_L_g_d90_stretch.png",
"filename_d120": "1_0001_L_g_d120_stretch.png",
"filename_d150": "1_0001_L_g_d150_stretch.png",
"filename_d180": "1_0001_L_g_d180_stretch.png",
"filename_d210": "1_0001_L_g_d210_stretch.png",
"filename_d240": "1_0001_L_g_d240_stretch.png",
"filename_d270": "1_0001_L_g_d270_stretch.png",
"filename_d300": "1_0001_L_g_d300_stretch.png",
"filename_d330": "1_0001_L_g_d330_stretch.png"
},
"image_b_stretch": {
"filename_d0": "1_0001_L_b_d0_stretch.png",
"filename_d30": "1_0001_L_b_d30_stretch.png",
"filename_d60": "1_0001_L_b_d60_stretch.png",
"filename_d90": "1_0001_L_b_d90_stretch.png",
"filename_d120": "1_0001_L_b_d120_stretch.png",
"filename_d150": "1_0001_L_b_d150_stretch.png",
"filename_d180": "1_0001_L_b_d180_stretch.png",
"filename_d210": "1_0001_L_b_d210_stretch.png",
"filename_d240": "1_0001_L_b_d240_stretch.png",
"filename_d270": "1_0001_L_b_d270_stretch.png",
"filename_d300": "1_0001_L_b_d300_stretch.png",
"filename_d330": "1_0001_L_b_d330_stretch.png"
},
"image_redfree_rgb_stretch": {
"filename_d0": "1_0001_L_redfree_rgb_d0_stretch.png",
"filename_d30": "1_0001_L_redfree_rgb_d30_stretch.png",
"filename_d60": "1_0001_L_redfree_rgb_d60_stretch.png",
"filename_d90": "1_0001_L_redfree_rgb_d90_stretch.png",
"filename_d120": "1_0001_L_redfree_rgb_d120_stretch.png",
"filename_d150": "1_0001_L_redfree_rgb_d150_stretch.png",
"filename_d180": "1_0001_L_redfree_rgb_d180_stretch.png",
"filename_d210": "1_0001_L_redfree_rgb_d210_stretch.png",
"filename_d240": "1_0001_L_redfree_rgb_d240_stretch.png",
"filename_d270": "1_0001_L_redfree_rgb_d270_stretch.png",
"filename_d300": "1_0001_L_redfree_rgb_d300_stretch.png",
"filename_d330": "1_0001_L_redfree_rgb_d330_stretch.png"
},
"image_redfree_gray_stretch": {
"filename_d0": "1_0001_L_redfree_gray_d0_stretch.png",
"filename_d30": "1_0001_L_redfree_gray_d30_stretch.png",
"filename_d60": "1_0001_L_redfree_gray_d60_stretch.png",
"filename_d90": "1_0001_L_redfree_gray_d90_stretch.png",
"filename_d120": "1_0001_L_redfree_gray_d120_stretch.png",
"filename_d150": "1_0001_L_redfree_gray_d150_stretch.png",
"filename_d180": "1_0001_L_redfree_gray_d180_stretch.png",
"filename_d210": "1_0001_L_redfree_gray_d210_stretch.png",
"filename_d240": "1_0001_L_redfree_gray_d240_stretch.png",
"filename_d270": "1_0001_L_redfree_gray_d270_stretch.png",
"filename_d300": "1_0001_L_redfree_gray_d300_stretch.png",
"filename_d330": "1_0001_L_redfree_gray_d330_stretch.png"
}
}
}
- 메타 데이터 구성: 성별, 나이, 키, 몸무게, 신체질량지수(Body mass index) 등을 포함한 측정 데이터, 진단명 및 중증도 데이터
| 분류 | No. | 항목 | 타입 | 필수여부 | 범위 | 비고 | |
|---|---|---|---|---|---|---|---|
| 항목명 | 항목설명 | ||||||
|
임상 정보 |
1 | organization | 수집기관 코드 | number | Y | 01월 04일 | 1: 세브란스 |
| 2: 은평성모 | |||||||
| 3: 강북삼성 | |||||||
| 4:강남세브란스 | |||||||
| 2 | data_code | 데이터 코드 | number | Y | 1 | ||
| -1000 | |||||||
| 3 | gender | 성별 | String | Y | “M”, “F” | ||
| 4 | age | 나이 | number | Y | 01월 20일 | ||
| 5 | class | 구분 | String | Y | “Normal”, “ASD”, “ADHD”, “ETC“ | ||
| 6 | stature | 키(cm) | number | N | |||
| 7 | weight | 몸무게 | number | N | |||
| (kg) | |||||||
| 8 | body mass index | 신체질량지수 | number | N | |||
| 9 | diagnosis | 진단명 | String | Y | “Normal”, “ASD”, “ADHD”, “DD”, “ED“ | ||
| 10 | severity | 중증도 | String | N | “mild”, “moderate”, “severe” | normal 그룹 제외 | |
- 메타 데이터 예시(csv)
| organization_code | data_code | gender | age | class | stature | weight | body mass index | diagnosis | severity |
|---|---|---|---|---|---|---|---|---|---|
| 1 | 2 | F | 7 | ADHD | 124.9 | 23.5 | 15.06409 | ADHD | mild |
| 책임자명 | 전화번호 | 대표이메일 | 담당업무 |
|---|---|---|---|
| 하성지 | 02-2227-8242 | sungjiha@yuhs.ac | 데이터 수집 및 정제, AI학습, 사업총괄 |
| 기관명 | 담당업무 |
|---|---|
| 가톨릭대학교 산학협력단 | 데이터 수집 |
| ㈜ 루먼랩 | 데이터 가공 |
| 삼성의료재단 | 데이터 수집 |
| ㈜ 에스에스엘 | 데이터 검수, 품질관리 |
| 담당자명 | 전화번호 | 이메일 |
|---|---|---|
| 하성지 | 02-2227-8242 | sungjiha@yuhs.ac |