| 버전 | 일자 | 변경내용 | 비고 |
|---|---|---|---|
| 1.1 | 2024-10-30 | 데이터 최종 개방 | |
| 1.0 | 2024-06-28 | 데이터 개방 | Beta Version |
| 일자 | 변경내용 | 비고 |
|---|---|---|
| 2025-05-15 | 데이터셋 변경 | 구축업체정보 수정 |
| 2025-01-06 | 데이터셋 변경 | 메타데이터 데이터 구축량 정보 수정 |
| 2024-06-28 | 산출물 공개 | Beta Version |
- 난소 종양을 가진 환자의 난소 종양부 CT, 초음파 이미지, 난소암 Whole Slide Image(WSI)와 암표지자검사 결과 및 의료 기록 정보들로부터 획득한 난소 종양 환자의 종합 의료 데이터
- 난소 종양을 가진 환자에서 악성 여부 예측 및 치료 성적 예측 서비스 모델 개발에 활용할 수 있는 난소 종양 초음파 및 CT영상, Whole Slide Image(WSI) 데이터, 암표지자검사 데이터, 메타데이터 구축
| 데이터 영역 | 헬스케어 | 데이터 유형 | 이미지 |
|---|---|---|---|
| 데이터 형식 | png : CT,초음파, svs : WSI, json : 암표지자검사 | 데이터 출처 | 아주대학교 산학협력단 외 컨소시엄 참여 병원 |
| 라벨링 유형 | 세그멘테이션(이미지) | 라벨링 형식 | json |
| 데이터 활용 서비스 | 난소암 조기 진단 시스템, 난소암 치료 예후 예측 서비스 | 데이터 구축년도/ 데이터 구축량 |
2023년/70,053 |
-데이터 통계
- 데이터 구축 규모
| 과제번호 | 과제명 | 데이터 유형 | 데이터 설명 | 데이터 건수 | |
|---|---|---|---|---|---|
| 036-049 | 난소암 데이터 | 원천데이터 | 암 | CT | 10,943 |
| 초음파 | 3,009 | ||||
| WSI | 2,075 | ||||
| 암표지자검사 | 782 | ||||
| 양성종양 | CT | 37,791 | |||
| 초음파 | 12,685 | ||||
| 암표지자검사 | 2,367 | ||||
| 라벨링데이터 | 암 | CT | 10,943 | ||
| 초음파 | 3,009 | ||||
| WSI | 2,075 | ||||
| 양성종양 | CT | 37,791 | |||
| 초음파 | 12,685 | ||||
| 메타데이터 | 암 | EMR | 820 | ||
| 양성종양 | EMR | 2,661 | |||
- 데이터 분포
■ 다양성(통계)
| 항목명 | 속성명 | 비율(%) |
|---|---|---|
| 환자 연령대별 분포 | 44세 이하 | 51.08 |
| 45세 ~ 64세 | 41.22 | |
| 65세 이상 | 7.7 | |
| 난소암 병기별 분포 | 1-2기 | 41.74 |
| 3-4기 | 58.26 |
■ 다양성(요건)
| 항목명 | 속성명 | 비율(%) |
|---|---|---|
| 난소종양 양성/악성 분포 | 양성 | 76.44 |
| 악성 | 23.56 | |
| 난소 악성종양 유형별 분포 | 장액성 | 54.27 |
| 자궁내막성 | 12.56 | |
| 투명세포암 | 8.54 | |
| 점액성 | 10 | |
| 기타 | 14.63 | |
| 난소 양성종양 유형별 분포 | 성숙기형종 | 27.96 |
| 장액성 | 11.42 | |
| 자궁내막종 | 21.83 | |
| 점액성 | 15.3 | |
| 기타 | 23.49 |
-활용 모델
| 학습 모델 | 난소종양 객체 탐지 모델(CT) |
|---|---|
| 모델 | YOLOv8 |
| 성능 지표 | mAP 80% 이상 |
| 개발 내용 | Object Detection 기반 모델인 YOLOv8를 사용하여 CT 이미지를 대상으로 난소종양 양⋅악성 분류 및 영역을 탐지하는 모델 개발 |
| 응용서비스 | - CT에서 난소종양 영역 및 악성 여부를 탐지하여 난소암 조기진단시스템을 지원 |
| (예시 및 유의사항) | - CT에서 난소종양 유형을 판별하고 종양 영역을 탐지하여 난소종양 치료 보조 서비스 및 난소종양 추적 관찰 시스템을 지원 |
| 학습 모델 | 난소종양 객체 탐지 모델(초음파) |
|---|---|
| 모델 | YOLOv8 |
| 성능 지표 | mAP 80% 이상 |
| 개발 내용 | Object Detection 기반 모델인 YOLOv8를 사용하여 초음파 이미지를 대상으로 난소 양성종양 유형(multi-class) 분류 및 영역을 탐지하는 모델 개발 |
| 응용서비스 | - 초음파에서 난소종양 영역 및 악성 여부를 탐지하여 난소암 조기진단시스템을 지원 |
| (예시 및 유의사항) | - 초음파에서 난소종양 유형을 판별하고 종양 영역을 탐지하여 난소종양 치료 보조 서비스 및 난소종양 추적 관찰 시스템을 지원 |
| 학습 모델 | 난소암 재발기간 예측 모델 |
|---|---|
| 모델 | RandomForestRegressor |
| 성능 지표 | C-index 65% 이상 |
| 개발 내용 | 앙상블 기반의 회귀 모델인 rfRegressor 모델을 사용하여 난소암 재발기간 데이터가 존재하는 환자의 전자의료정보데이터를 대상으로 첫 번째 난소암 재발이 나타나기까지의 기간을 예측하는 모델 개발 |
| 응용서비스 | - 환자 의료 정보를 활용하여 난소암 치료 예후 예측 서비스 지원 |
| (예시 및 유의사항) | 난소암 재발기간 예측을 통해 난소암 치료를 위한 보조적 도구로 활용 |
- 데이터 구성
| 데이터 유형 | 데이터 설명 | |
|---|---|---|
| 원천데이터 | 암 | CT |
| 초음파 | ||
| WSI | ||
| 암표지자검사 | ||
| 양성종양 | CT | |
| 초음파 | ||
| 암표지자검사 | ||
| 라벨링데이터 | 암 | CT |
| 초음파 | ||
| WSI | ||
| 양성종양 | CT | |
| 초음파 | ||
| 메타데이터 | 암 | EMR |
| 양성종양 | EMR | |
- 어노테이션 포맷
- 라벨링 데이터 (CT 및 초음파)
| 구분 | 속성명 | 타입 | 필수여부 | 비고 | ||||
|---|---|---|---|---|---|---|---|---|
| 1 | fileName | string | Y | |||||
| 2 | taskName | string | Y | |||||
| 3 | type | string | Y | |||||
| 4 | idx | number | N | |||||
| 5 | resultData | array | N | |||||
| 5-1 | resultData{} | object | Y | |||||
| 5-1-1 | resultData{}.points | array | N | |||||
| 5-1-1-1 | resultData{}.points{} | object | Y | |||||
| 5-1-1-1-1 | points{}.x | number | N | |||||
| 5-1-1-1-2 | points{}.y | number | N | |||||
| 5-1-1-1-3 | points{}.idx | number | N | |||||
| 5-1-2 | resultData{}.tool | string | N | |||||
| 5-1-3 | resultData{}.idx | number | N | |||||
| 5-1-4 | resultData{}.value | string | Y | |||||
- 라벨링 데이터 (WSI)
| 구분 | 속성명 | 타입 | 필수여부 | 비고 | ||||
|---|---|---|---|---|---|---|---|---|
| 1 | type | string | Y | |||||
| 2 | feature | array | Y | |||||
| 2-1 | feature{} | object | Y | |||||
| 2-1-1 | feature{}.type | string | Y | |||||
| 2-1-2 | feature{}.id | string | Y | |||||
| 2-1-3 | feature{}.geometry | object | Y | |||||
| 2-1-3-1 | geometry{}.type | string | Y | |||||
| 2-1-3-2 | geometry{}.coordinates[] | array | N | |||||
| 2-1-4 | feature{}.properties | object | Y | |||||
| 2-1-4-1 | properties{}.objectType | string | Y | |||||
| 2-1-4-2 | properties{}.classification | object | Y | |||||
| 2-1-4-2-1 | classification{}.name | string | Y | |||||
| 2-1-4-2-2 | classification{}.color[] | array | Y | |||||
| 2-1-4-2-3 | classification{}.fnd | string | Y | |||||
- 원천데이터 (암표지자)
| 구분 | 속성명 | 타입 | 필수여부 | 비고 |
|---|---|---|---|---|
| 1 | PT_ID | string | Y | |
| 2 | POSTOP_PATH | string | Y | 1: 난소양성종양 2: 난소암 |
| 3 | FND | string | Y | |
| 4 | CA_125 | number | N |
- 메타데이터
| 구분 | 속성명 | 타입 | 필수여부 | 비고 |
|---|---|---|---|---|
| 1 | PT_ID | string | Y | |
| 2 | Birth_YM | string | Y | yyyy-mm |
| 3 | POSTOP_PATH | string | Y | 1: 난소양성종양 |
| 2: 난소암 | ||||
| 4 | HTLG_TYPE_CMNT | string | Y | |
| 5 | FND | string | Y | |
| 6 | SONO_YM | string | N | yyyy-mm |
| 7 | CT_YM | string | N | yyyy-mm |
| 8 | FRST_DIAG_YM | string | Y | yyyy-mm |
| 9 | FRST_DIAG_NM | string | Y | "C48": Malignant neoplasm of retroperitoneum |
| "C56":Malignantneoplasmofovary | ||||
| "C56.0":Malignantneoplasmofovary,right | ||||
| "C56.1":Malignantneoplasmofovary,left | ||||
| "C56.9":Malignantneoplasmofovary,unspecifiedside:Ovariancancer | ||||
| "C57": Malignant neoplasm of fallopian tube | ||||
| "D27.9":Benignneoplasmofovary,Unspecifiedside | ||||
| "ETC":기타 | ||||
| 10 | DIAG_ATT_AGE | number | Y | |
| 11 | PT_height | number | Y | |
| 12 | PT_weight | number | Y | |
| 13 | PT_GVD | number | Y | |
| 14 | PT_Para | number | Y | |
| 15 | CA_125 | number | N | |
| 16 | FRST_OPRT_YM | string | N | yyyy-mm |
| 17 | FIGO_STAG | string | N | |
| 18 | LAST_DT | string | N | yyyy-mm |
| 19 | LAST_FLUP_STUS_CD | string | N | "1": Alive without ovary cancer |
| "2":Alivewithovarycancer | ||||
| "3":Death | ||||
| "4":Unknown | ||||
| "99":양성종양 | ||||
| 20 | FLUP_DRTN | number | N | |
| 21 | DEAD_YN | string | N | "Y":사망, |
| "N": 생존, | ||||
| "U": 모름 | ||||
| 22 | RLPS_YN | string | N | "Y":재발, |
| "N": 없음, | ||||
| "U": 모름 | ||||
| 23 | RLPS_DIAG_YM | string | N | yyyy-mm |
| 24 | RECU_DRTN | number | N |
- 데이터 포맷
| 데이터 유형 | 데이터 포맷 | ||
|---|---|---|---|
| 원천데이터 | 암 | CT | PNG |
| 초음파 | PNG | ||
| WSI | SVS | ||
| 암표지자검사 | JSON | ||
| 양성종양 | CT | PNG | |
| 초음파 | PNG | ||
| 암표지자검사 | JSON | ||
| 라벨링데이터 | 암 | CT | JSON |
| 초음파 | JSON | ||
| WSI | JSON | ||
| 양성종양 | CT | JSON | |
| 초음파 | JSON | ||
| 메타데이터 | 암 | EMR | JSON |
| 양성종양 | EMR | JSON | |
- 실제 예시
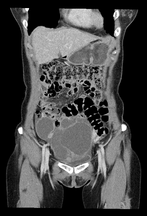
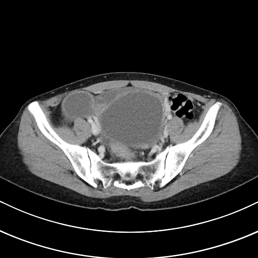
- CT 이미지(원천:PNG – 라벨링:JSON)
| 원천데이터 | 라벨링데이터 |
|---|---|
![]() |
![]() |
![]() |
![]() |
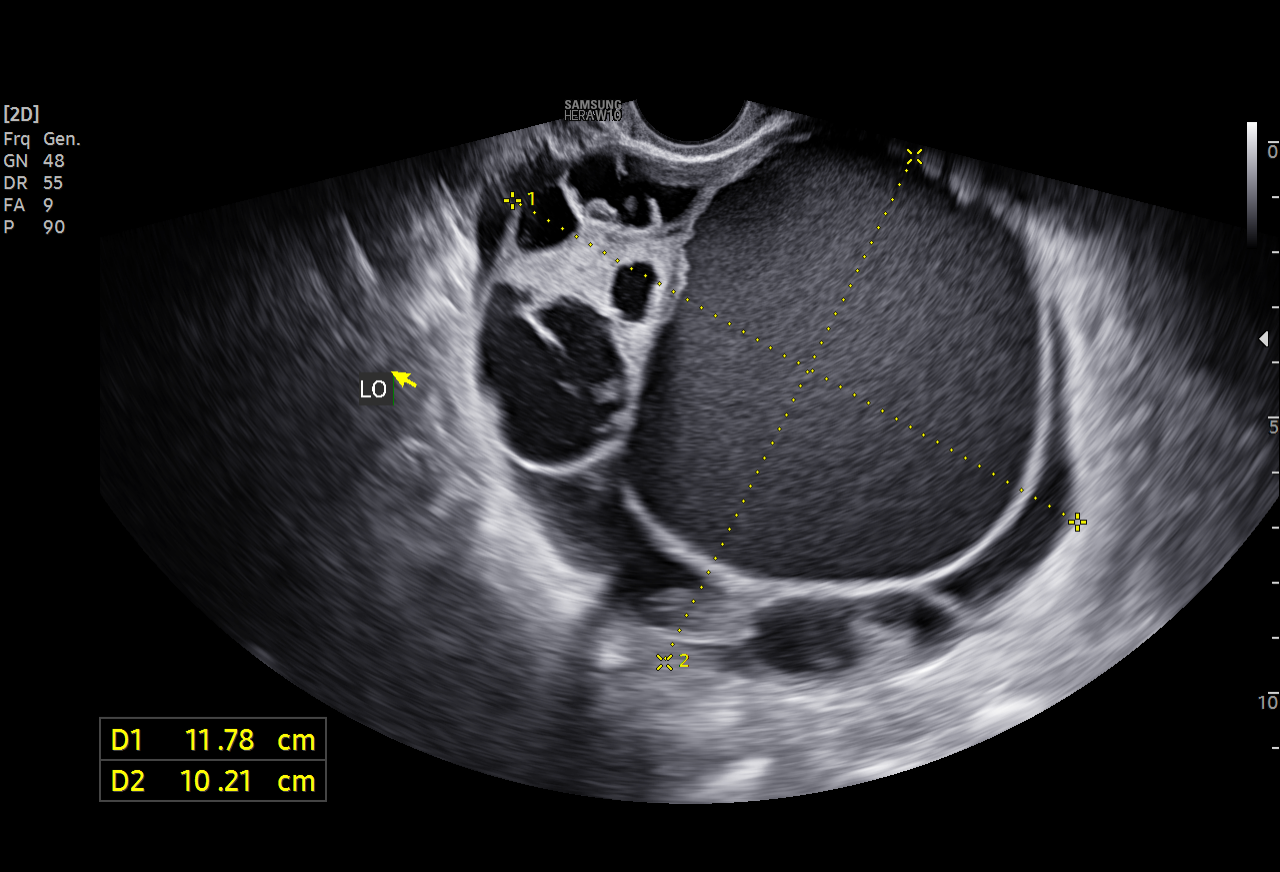
- 초음파 이미지(원천:PNG – 라벨링:JSON)
| 원천데이터 | 라벨링데이터 |
|---|---|
![]() |
![]() |
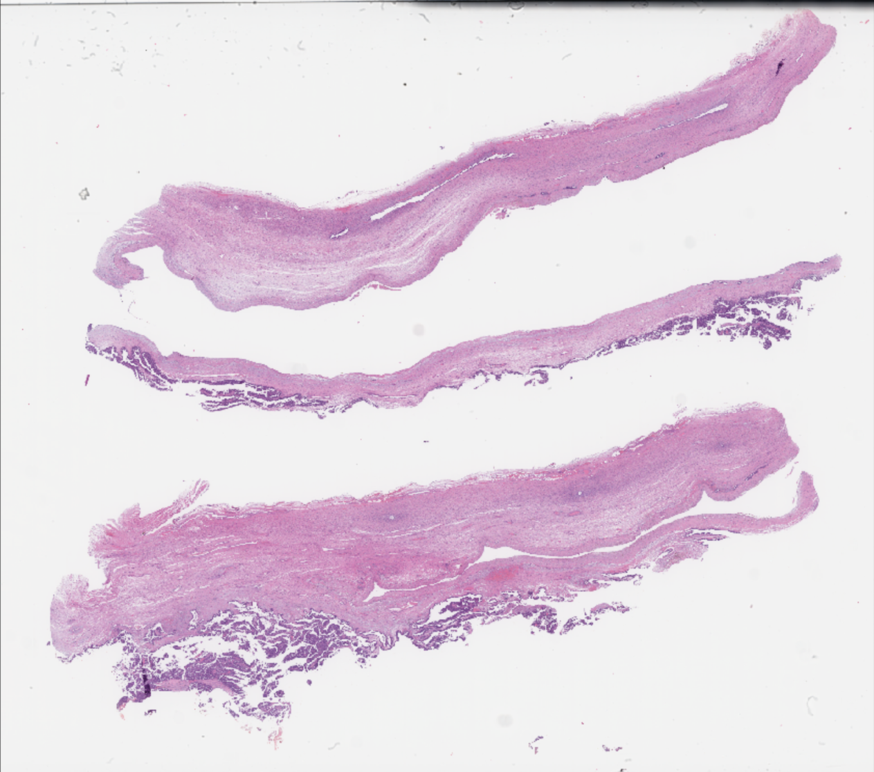
- WSI 이미지(원천:svs – 라벨링:JSON)
| 원천데이터 | 라벨링데이터 |
|---|---|
![]() |
![]() |
- 암표지자검사(원천:JSON)
| 원천데이터 |
|---|
![]() |
- 메타데이터(JSON)
| 메타데이터 |
|---|
![]() |
| 책임자명 | 전화번호 | 대표이메일 | 담당업무 |
|---|---|---|---|
| 김미란 | 031-219-5300 | kmr5300@ajou.ac.kr | 총괄 책임자 |
| 기관명 | 담당업무 |
|---|---|
| ㈜위세아이텍 | 품질검사, AI모델링 |
| 닥터웍스 | 데이터 가공, 데이터 검수 |
| 피트케어, 휴민텍 | 데이터 정제 |
| 담당자명 | 전화번호 | 이메일 |
|---|---|---|
| 김미란 | 031-219-5300 | kmr5300@ajou.ac.kr |
| 박창은 | 031-219-7891 | bg9523@ajou.ac.kr |
| 담당자명 | 전화번호 | 이메일 |
|---|---|---|
| 이지현 | 02-6246-1400 | jhlee92@wise.co.kr |
| 한지윤 | 02-6246-1400 | jyhan@wise.co.kr |
| 담당자명 | 전화번호 | 이메일 |
|---|---|---|
| 이희상 | 02-6402-2240 | lisa.lee@doctorworks.kr |
| 윤대명 | 02-6402-2240 | daniel.yoon@doctorworks.kr |